Antibody data
- Antibody Data
- Antigen structure
- References [0]
- Comments [0]
- Validations
- Western blot [1]
- Immunohistochemistry [1]
Submit
Validation data
Reference
Comment
Report error
- Product number
- OAAD00250 - Provider product page

- Provider
- Aviva Systems Biology
- Product name
- IGF1R Antibody
- Antibody type
- Monoclonal
- Reactivity
- Human
- Host
- Mouse
- Isotype
- IgG
- Antibody clone number
- 3G5C1
- Vial size
- 0.1ml
- Storage
- Store at 4°C, for long term storage, store at -20°C.
No comments: Submit comment
Supportive validation
- Submitted by
- Aviva Systems Biology (provider)
- Main image

- Experimental details
- western blot analysis using IGF1R mouse mAb against truncated IGF1R recombinant protein.
Supportive validation
- Submitted by
- Aviva Systems Biology (provider)
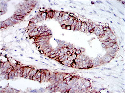
- Main image

- Experimental details
- Immunohistochemical analysis of paraffin-embedded ovarian cancer tissues using IGF1R mouse mAb with DAB staining.