Antibody data
- Antibody Data
- Antigen structure
- References [2]
- Comments [0]
- Validations
- Immunocytochemistry [1]
- Immunohistochemistry [4]
- Other assay [1]
Submit
Validation data
Reference
Comment
Report error
- Product number
- MA5-26087 - Provider product page

- Provider
- Invitrogen Antibodies
- Product name
- PIK3CG Monoclonal Antibody (OTI6H5)
- Antibody type
- Monoclonal
- Antigen
- Recombinant full-length protein
- Reactivity
- Human, Mouse
- Host
- Mouse
- Isotype
- IgG
- Antibody clone number
- OTI6H5
- Vial size
- 100 μL
- Concentration
- 1 mg/mL
- Storage
- -20°C, Avoid Freeze/Thaw Cycles
Submitted references Caspase Inhibition Affects the Expression of Autophagy-Related Molecules in Chondrocytes.
Proteogenomic analysis of melanoma brain metastases from distinct anatomical sites identifies pathways of metastatic progression.
Vesela B, Svandova E, Ramesova A, Kratochvilova A, Tucker AS, Matalova E
Cartilage 2021 Dec;13(2_suppl):956S-968S
Cartilage 2021 Dec;13(2_suppl):956S-968S
Proteogenomic analysis of melanoma brain metastases from distinct anatomical sites identifies pathways of metastatic progression.
Taylor EM, Byrum SD, Edmondson JL, Wardell CP, Griffin BG, Shalin SC, Gokden M, Makhoul I, Tackett AJ, Rodriguez A
Acta neuropathologica communications 2020 Sep 5;8(1):157
Acta neuropathologica communications 2020 Sep 5;8(1):157
No comments: Submit comment
Supportive validation
- Submitted by
- Invitrogen Antibodies (provider)
- Main image

- Experimental details
- Immunofluorescent analysis of PIK3CG in COS7 cells. Cells were transfected with a plasmid overexpressing PIK3CG and probed with a PIK3CG monoclonal antibody (Product # MA5-26087).
Supportive validation
- Submitted by
- Invitrogen Antibodies (provider)
- Main image

- Experimental details
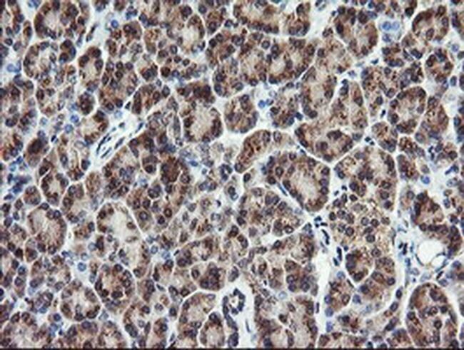
- Immunohistochemistry was performed on paraffin-embedded human pancreas tissue. To expose target proteins, 10mM citric buffer, pH6.0, 120°C for 3min was used. Following antigen retrieval, tissues were probed with a PIK3CG monoclonal antibody (Product # MA5-26087).
- Submitted by
- Invitrogen Antibodies (provider)
- Main image

- Experimental details
- Immunohistochemistry was performed on paraffin-embedded human kidney tissue. To expose target proteins, 10mM citric buffer, pH6.0, 120°C for 3min was used. Following antigen retrieval, tissues were probed with a PIK3CG monoclonal antibody (Product # MA5-26087).
- Submitted by
- Invitrogen Antibodies (provider)
- Main image

- Experimental details
- Immunohistochemistry was performed on paraffin-embedded adenocarcinoma of human ovary tissue. To expose target proteins, 10mM citric buffer, pH6.0, 120°C for 3min was used. Following antigen retrieval, tissues were probed with a PIK3CG monoclonal antibody (Product # MA5-26087).
- Submitted by
- Invitrogen Antibodies (provider)
- Main image

- Experimental details
- Immunohistochemistry was performed on paraffin-embedded human liver tissue. To expose target proteins, 10mM citric buffer, pH6.0, 120°C for 3min was used. Following antigen retrieval, tissues were probed with a PIK3CG monoclonal antibody (Product # MA5-26087).
Supportive validation
- Submitted by
- Invitrogen Antibodies (provider)
- Main image

- Experimental details
- Fig. 4 Comparison of histologic and PIK3CG immunohistochemical features of the primary skin and three metastatic lesions in the brain. All melanomas from the skin primary ( a ), 1st. ( c ), 2nd ( e ) and 3rd. ( g ) metastases in the brain were histologically similar with highly-atypical epithelioid malignant cells with prominent nucleoli, conspicuous cytoplasm, focal finely-granular green-yellow pigment, high mitotic activity (arrows), and necrosis (*). PIK3CG was negative in the skin primary ( b ; inset: negative control; *: epidermis), and focally and weakly positive in all three brain metastases ( d ; inset: positive control, f and h ), with the 3rd metastatic lesion in the brain having a more widespread and stronger positivity ( h ), relative to others. (Original magnifications: a - h : 400 x; insets: 200 x)