Antibody data
- Antibody Data
- Antigen structure
- References [0]
- Comments [0]
- Validations
- Western blot [1]
- Immunocytochemistry [1]
- Immunohistochemistry [1]
Submit
Validation data
Reference
Comment
Report error
- Product number
- 29066 - Provider product page

- Provider
- Signalway Antibody LLC
- Product name
- HGF antibody
- Antibody type
- Polyclonal
- Antigen
- Other
- Host
- Rabbit
- Conjugate
- Unconjugated
- Vial size
- 100µl
No comments: Submit comment
Supportive validation
- Submitted by
- Signalway Antibody LLC (provider)
- Main image

- Experimental details
- Western blot analysis of extracts from 293T cell lysate using #29066
Supportive validation
- Submitted by
- Signalway Antibody LLC (provider)
- Main image

- Experimental details
- Immunofluorescence analysis of methanol-fixed HepG2, using Angiotensinogen antibody at 1: 200 dilution.
Supportive validation
- Submitted by
- Signalway Antibody LLC (provider)
- Main image

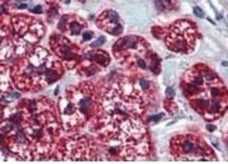
- Experimental details
- Immunohistochemical analysis of paraffin-embedded Human Adrenal Gland lysate tissue labelling HGF with #29066