Antibody data
- Antibody Data
- Antigen structure
- References [11]
- Comments [0]
- Validations
- Immunohistochemistry [1]
Submit
Validation data
Reference
Comment
Report error
- Product number
- sc-7949 - Provider product page 
- Provider
- Santa Cruz Biotechnology
- Proper citation
- Santa Cruz Biotechnology Cat#sc-7949, RRID:AB_647965
- Product name
- Anti-HGF
- Antibody type
- Polyclonal
- Antigen
- Recombinant full-length protein
- Reactivity
- Human
- Host
- Rabbit
Submitted references		Maximal adamantyl-substituted retinoid-related molecule-induced apoptosis requires NF-κB noncanonical and canonical pathway activation.
				
Normalization of wound healing and diabetic markers in organ cultured human diabetic corneas by adenoviral delivery of c-Met gene.
				
Global regulation of nucleotide biosynthetic genes by c-Myc.
				
Angiogenic heterogeneity in head and neck squamous cell carcinoma: biological and therapeutic implications.
				
Activation of transferrin receptor 1 by c-Myc enhances cellular proliferation and tumorigenesis.
				
c-Myc-regulated microRNAs modulate E2F1 expression
				
In silico identification of transcriptional regulators associated with c-Myc.
				
Evaluation of myc E-box phylogenetic footprints in glycolytic genes by chromatin immunoprecipitation assays.
				
The tumour-stromal interaction between intratumoral c-Met and stromal hepatocyte growth factor associated with tumour growth and prognosis in non-small-cell lung cancer patients.
				
An integrated database of genes responsive to the Myc oncogenic transcription factor: identification of direct genomic targets.
				
CD44 is required for two consecutive steps in HGF/c-Met signaling.
				
		
	
			Farhana L, Dawson MI, Murshed F, Fontana JA
Cell death and differentiation 2011 Jan;18(1):164-73
		Cell death and differentiation 2011 Jan;18(1):164-73
Normalization of wound healing and diabetic markers in organ cultured human diabetic corneas by adenoviral delivery of c-Met gene.
			Saghizadeh M, Kramerov AA, Yu FS, Castro MG, Ljubimov AV
Investigative ophthalmology & visual science 2010 Apr;51(4):1970-80
		Investigative ophthalmology & visual science 2010 Apr;51(4):1970-80
Global regulation of nucleotide biosynthetic genes by c-Myc.
			Liu YC, Li F, Handler J, Huang CR, Xiang Y, Neretti N, Sedivy JM, Zeller KI, Dang CV
PloS one 2008 Jul 16;3(7):e2722
		PloS one 2008 Jul 16;3(7):e2722
Angiogenic heterogeneity in head and neck squamous cell carcinoma: biological and therapeutic implications.
			Hasina R, Whipple ME, Martin LE, Kuo WP, Ohno-Machado L, Lingen MW
Laboratory investigation; a journal of technical methods and pathology 2008 Apr;88(4):342-53
		Laboratory investigation; a journal of technical methods and pathology 2008 Apr;88(4):342-53
Activation of transferrin receptor 1 by c-Myc enhances cellular proliferation and tumorigenesis.
			O'Donnell KA, Yu D, Zeller KI, Kim JW, Racke F, Thomas-Tikhonenko A, Dang CV
Molecular and cellular biology 2006 Mar;26(6):2373-86
		Molecular and cellular biology 2006 Mar;26(6):2373-86
c-Myc-regulated microRNAs modulate E2F1 expression
			Kathryn A. O'Donnell, Erik A. Wentzel, Karen I. Zeller, Chi V. Dang, Joshua T. Mendell
Nature 2005 Jun;435(7043):839-843
		Nature 2005 Jun;435(7043):839-843
In silico identification of transcriptional regulators associated with c-Myc.
			Elkon R, Zeller KI, Linhart C, Dang CV, Shamir R, Shiloh Y
Nucleic acids research 2004;32(17):4955-61
		Nucleic acids research 2004;32(17):4955-61
Evaluation of myc E-box phylogenetic footprints in glycolytic genes by chromatin immunoprecipitation assays.
			Kim JW, Zeller KI, Wang Y, Jegga AG, Aronow BJ, O'Donnell KA, Dang CV
Molecular and cellular biology 2004 Jul;24(13):5923-36
		Molecular and cellular biology 2004 Jul;24(13):5923-36
The tumour-stromal interaction between intratumoral c-Met and stromal hepatocyte growth factor associated with tumour growth and prognosis in non-small-cell lung cancer patients.
			Masuya D, Huang C, Liu D, Nakashima T, Kameyama K, Haba R, Ueno M, Yokomise H
British journal of cancer 2004 Apr 19;90(8):1555-62
		British journal of cancer 2004 Apr 19;90(8):1555-62
An integrated database of genes responsive to the Myc oncogenic transcription factor: identification of direct genomic targets.
			Zeller KI, Jegga AG, Aronow BJ, O'Donnell KA, Dang CV
Genome biology 2003;4(10):R69
		Genome biology 2003;4(10):R69
CD44 is required for two consecutive steps in HGF/c-Met signaling.
			Orian-Rousseau V, Chen L, Sleeman JP, Herrlich P, Ponta H
Genes & development 2002 Dec 1;16(23):3074-86
		Genes & development 2002 Dec 1;16(23):3074-86
				No comments: Submit comment	
	
			
							
					Supportive validation
					
									
				
		- Submitted by
- per
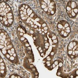
- Main image
 
- Experimental details
- Immunohistochemical staining of human colon shows strong cytoplasmic positivity in glandular cells.
- Validation comment
- Staining pattern partly consistent with experimental and/or bioinformatic data.