Antibody data
- Antibody Data
- Antigen structure
- References [6]
- Comments [0]
- Validations
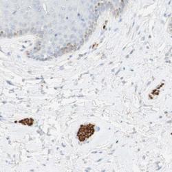
- Immunohistochemistry [1]
Submit
Validation data
Reference
Comment
Report error
- Product number
- sc-7956 - Provider product page

- Provider
- Santa Cruz Biotechnology
- Proper citation
- Santa Cruz Biotechnology Cat#sc-7956, RRID:AB_2098408
- Product name
- Anti-EPO
- Antibody type
- Polyclonal
- Antigen
- Recombinant full-length protein
- Reactivity
- Human
- Host
- Rabbit
Submitted references Human embryonic stem cell neural differentiation and enhanced cell survival promoted by hypoxic preconditioning.
Postnatal erythropoietin treatment mitigates neural cell loss after systemic prenatal hypoxic-ischemic injury.
Impaired expression of neuroprotective molecules in the HIF-1alpha pathway following traumatic brain injury in aged mice.
Suppression of retinal neovascularization by erythropoietin siRNA in a mouse model of proliferative retinopathy.
Expression of hypoxia-inducible factor-1alpha and the protein products of its target genes in diabetic fibrovascular epiretinal membranes.
Neuroprotective effects and intracellular signaling pathways of erythropoietin in a rat model of multiple sclerosis
Francis KR, Wei L
Cell death & disease 2010;1(2):e22
Cell death & disease 2010;1(2):e22
Postnatal erythropoietin treatment mitigates neural cell loss after systemic prenatal hypoxic-ischemic injury.
Mazur M, Miller RH, Robinson S
Journal of neurosurgery. Pediatrics 2010 Sep;6(3):206-21
Journal of neurosurgery. Pediatrics 2010 Sep;6(3):206-21
Impaired expression of neuroprotective molecules in the HIF-1alpha pathway following traumatic brain injury in aged mice.
Anderson J, Sandhir R, Hamilton ES, Berman NE
Journal of neurotrauma 2009 Sep;26(9):1557-66
Journal of neurotrauma 2009 Sep;26(9):1557-66
Suppression of retinal neovascularization by erythropoietin siRNA in a mouse model of proliferative retinopathy.
Chen J, Connor KM, Aderman CM, Willett KL, Aspegren OP, Smith LE
Investigative ophthalmology & visual science 2009 Mar;50(3):1329-35
Investigative ophthalmology & visual science 2009 Mar;50(3):1329-35
Expression of hypoxia-inducible factor-1alpha and the protein products of its target genes in diabetic fibrovascular epiretinal membranes.
Abu El-Asrar AM, Missotten L, Geboes K
The British journal of ophthalmology 2007 Jun;91(6):822-6
The British journal of ophthalmology 2007 Jun;91(6):822-6
Neuroprotective effects and intracellular signaling pathways of erythropoietin in a rat model of multiple sclerosis
M B Sättler (née Hobom), D Merkler, K Maier, C Stadelmann, H Ehrenreich, M Bähr, R Diem
Cell Death and Differentiation 2004 Oct;11(S2):S181-S192
Cell Death and Differentiation 2004 Oct;11(S2):S181-S192
No comments: Submit comment
Supportive validation
- Submitted by
- per
- Main image

- Experimental details
- Immunohistochemical staining of human vulva/anal skin shows distinct positivity in erythrocytes.
- Validation comment
- Staining pattern consistent with experimental and/or bioinformatic data.