Antibody data
- Antibody Data
- Antigen structure
- References [0]
- Comments [0]
- Validations
- Western blot [2]
- Immunocytochemistry [1]
- Immunohistochemistry [1]
- Flow cytometry [1]
Submit
Validation data
Reference
Comment
Report error
- Product number
- F40026 - Provider product page

- Provider
- NSJ Bioreagents
- Product name
- GNAS Antibody
- Antibody type
- Polyclonal
- Description
- This highly specific GNAS antibody is suitable for use in Western blot/Immunohistochemistry/Immunofluorescence/Flow cytometry/ELISA applications with human samples.
- Reactivity
- Human
- Host
- Rabbit
- Conjugate
- Unconjugated
- Vial size
- 0.08 ml, 0.4 ml
- Concentration
- In 1X PBS, pH 7.4, with 0.09% sodium azide
- Storage
- Aliquot the GNAS antibody and store frozen at -20oC or colder. Avoid repeated freeze-thaw cycles.
No comments: Submit comment
Supportive validation
- Submitted by
- NSJ Bioreagents (provider)
- Main image

- Experimental details
- Western blot analysis of GNAS antibody and 293 cell lysate (2 ug/lane) either nontransfected (Lane 1) or transiently transfected (2) with the GNAS gene.
- Submitted by
- NSJ Bioreagents (provider)
- Main image

- Experimental details
- GNAS antibody western blot analysis in 293, NCI-H292 lysate
Supportive validation
- Submitted by
- NSJ Bioreagents (provider)
- Main image

- Experimental details
- Confocal immunofluorescent analysis of GNAS antibody with 293 cells followed by Alexa Fluor 488-conjugated goat anti-rabbit lgG (green). DAPI was used as a nuclear counterstain (blue).
Supportive validation
- Submitted by
- NSJ Bioreagents (provider)
- Main image

- Experimental details
- GNAS antibody immunohistochemistry analysis in formalin fixed and paraffin embedded human pancreas tissue.
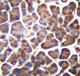
Supportive validation
- Submitted by
- NSJ Bioreagents (provider)
- Main image

- Experimental details
- GNAS antibody flow cytometric analysis of 293 cells (green) compared to a negative control cell (blue). FITC-conjugated goat-anti-rabbit secondary Ab was used for the analysis.