Antibody data
- Antibody Data
- Antigen structure
- References [1]
- Comments [0]
- Validations
- Western blot [1]
- Immunohistochemistry [1]
Submit
Validation data
Reference
Comment
Report error
- Product number
- sc-8308 - Provider product page

- Provider
- Santa Cruz Biotechnology
- Proper citation
- Santa Cruz Biotechnology Cat#sc-8308, RRID:AB_2123447
- Product name
- Anti-IFNG
- Antibody type
- Polyclonal
- Antigen
- Recombinant full-length protein
- Reactivity
- Human
- Host
- Rabbit
Submitted references Proinflammatory cytokine expression profile in degenerated and herniated human intervertebral disc tissues.
Shamji MF, Setton LA, Jarvis W, So S, Chen J, Jing L, Bullock R, Isaacs RE, Brown C, Richardson WJ
Arthritis and rheumatism 2010 Jul;62(7):1974-82
Arthritis and rheumatism 2010 Jul;62(7):1974-82
No comments: Submit comment
Supportive validation
- Submitted by
- per
- Main image

- Experimental details
- Western blot analysis of antibody specificity using a routine panel composed of IgG/HSA-depleted human plasma and protein lysates from selected human tissues and cell lines.
- Validation comment
- Single band larger than predicted size in kDa (+20%) but partly supported by experimental and/or bioinformatic data.
- Primary Ab dilution
- 1:500
- Secondary Ab dilution
- 1:3000
- Lane 1
- Marker [kDa]: 219, 111, 83, 48, 32, 26, 17
- Lane 2
- RT-4
- Lane 3
- U-251MG sp
- Lane 4
- Human Plasma
- Lane 5
- Liver
- Lane 6
- Tonsil
- Theoretical target weight
- [kDa] 19
Supportive validation
- Submitted by
- per
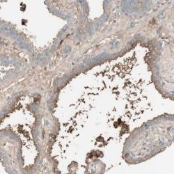
- Main image

- Experimental details
- Immunohistochemical staining of human prostate shows cytoplasmic positivity in glandular cells.
- Validation comment
- Staining pattern consistent with experimental and/or bioinformatic data.