Antibody data
- Antibody Data
- Antigen structure
- References [1]
- Comments [0]
- Validations
- Immunohistochemistry [2]
Submit
Validation data
Reference
Comment
Report error
- Product number
- bs-0481R - Provider product page

- Provider
- Bioss
- Proper citation
- Bioss Cat#bs-0481R, RRID:AB_10855748
- Product name
- IFN gamma Polyclonal Antibody
- Antibody type
- Polyclonal
- Description
- KLH conjugated synthetic peptide derived from human IFN Gamma
- Reactivity
- Human
- Host
- Rabbit
- Conjugate
- Unconjugated
- Isotype
- IgG
- Vial size
- 100ul
- Concentration
- 1ug/ul
- Storage
- Aqueous buffered solution containing 1% BSA, 50% glycerol and 0.09% sodium azide. Store at -20°C for 12 months.
Submitted references Phenotype transformation of immortalized NCM460 colon epithelial cell line by TGF-β1 is associated with chromosome instability.
Huang C, Wen B
Molecular biology reports 2016 Oct;43(10):1069-78
Molecular biology reports 2016 Oct;43(10):1069-78
No comments: Submit comment
Supportive validation
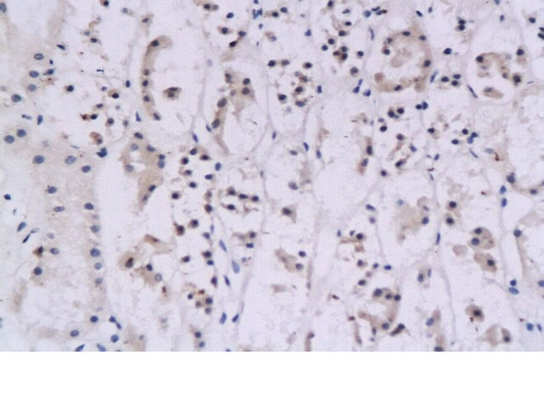
- Submitted by
- Bioss (provider)
- Main image

- Experimental details
- "Formalin-fixed and paraffin-embedded human kidney tissue labeled with Rabbit Anti- IFN-gamma Polyclonal Antibody, Unconjugated (bs-0481R) at 1:200 followed by conjugation to the secondary antibody and DAB staining"
- Sample type
- Human
- Other comments
- Kidney
- Submitted by
- Bioss (provider)
- Main image

- Experimental details
- "Formalin-fixed and paraffin-embedded human Pulmonary tuberculosis tissue labeled with Rabbit Anti- IFN-gamma Polyclonal Antibody, Unconjugated (bs-0481R) at 1:200 followed by conjugation to the secondary antibody and DAB staining"
- Sample type
- Human
- Other comments
- Heart