Antibody data
- Antibody Data
- Antigen structure
- References [10]
- Comments [0]
- Validations
- Western blot [1]
- Immunohistochemistry [1]
Submit
Validation data
Reference
Comment
Report error
- Product number
- sc-903 - Provider product page

- Provider
- Santa Cruz Biotechnology
- Proper citation
- Santa Cruz Biotechnology Cat#sc-903, RRID:AB_2268772
- Product name
- Anti-PRKACA
- Antibody type
- Polyclonal (Antigen purified)
- Antigen
- Synthetic peptide
- Reactivity
- Human
- Host
- Rabbit
Submitted references Serine residue 115 of MAPK-activated protein kinase MK5 is crucial for its PKA-regulated nuclear export and biological function.
Protein kinase A type I activates a CRE-element more efficiently than protein kinase A type II regardless of C subunit isoform.
Protein kinase A phosphorylation activates Vpr-induced cell cycle arrest during human immunodeficiency virus type 1 infection.
Protein kinase A regulatory subunit distribution in medulloblastoma.
Identification of novel in vivo phosphorylation sites of the human proapoptotic protein BAD: pore-forming activity of BAD is regulated by phosphorylation.
The PKs PKA and ERK 1/2 are involved in phosphorylation of TH at Serine 40 and 31 during morphine withdrawal in rat hearts.
Different phases of long-term memory require distinct temporal patterns of PKA activity after single-trial classical conditioning.
14-3-3 theta binding to cell cycle regulatory factors is enhanced by HIV-1 Vpr.
Renal activation of extracellular signal-regulated kinase in rats with autosomal-dominant polycystic kidney disease
cAMP-independent role of PKA in tonicity-induced transactivation of tonicity-responsive enhancer/ osmotic response element-binding protein.
Kostenko S, Shiryaev A, Gerits N, Dumitriu G, Klenow H, Johannessen M, Moens U
Cellular and molecular life sciences : CMLS 2011 Mar;68(5):847-62
Cellular and molecular life sciences : CMLS 2011 Mar;68(5):847-62
Protein kinase A type I activates a CRE-element more efficiently than protein kinase A type II regardless of C subunit isoform.
Stakkestad Ø, Larsen AC, Kvissel AK, Eikvar S, Ørstavik S, Skålhegg BS
BMC biochemistry 2011 Feb 8;12:7
BMC biochemistry 2011 Feb 8;12:7
Protein kinase A phosphorylation activates Vpr-induced cell cycle arrest during human immunodeficiency virus type 1 infection.
Barnitz RA, Wan F, Tripuraneni V, Bolton DL, Lenardo MJ
Journal of virology 2010 Jul;84(13):6410-24
Journal of virology 2010 Jul;84(13):6410-24
Protein kinase A regulatory subunit distribution in medulloblastoma.
Mucignat-Caretta C, Denaro L, Redaelli M, D'Avella D, Caretta A
BMC cancer 2010 Apr 14;10:141
BMC cancer 2010 Apr 14;10:141
Identification of novel in vivo phosphorylation sites of the human proapoptotic protein BAD: pore-forming activity of BAD is regulated by phosphorylation.
Polzien L, Baljuls A, Rennefahrt UEE, Fischer A, Schmitz W, Zahedi RP, Sickmann A, Metz R, Albert S, Benz R, Hekman M, Rapp UR
The Journal of biological chemistry 2009 Oct 9;284(41):28004-28020
The Journal of biological chemistry 2009 Oct 9;284(41):28004-28020
The PKs PKA and ERK 1/2 are involved in phosphorylation of TH at Serine 40 and 31 during morphine withdrawal in rat hearts.
Almela P, Milanés M, Laorden M
British journal of pharmacology 2008 Sep;155(1):73-83
British journal of pharmacology 2008 Sep;155(1):73-83
Different phases of long-term memory require distinct temporal patterns of PKA activity after single-trial classical conditioning.
Michel M, Kemenes I, Müller U, Kemenes G
Learning & memory (Cold Spring Harbor, N.Y.) 2008 Sep;15(9):694-702
Learning & memory (Cold Spring Harbor, N.Y.) 2008 Sep;15(9):694-702
14-3-3 theta binding to cell cycle regulatory factors is enhanced by HIV-1 Vpr.
Bolton DL, Barnitz RA, Sakai K, Lenardo MJ
Biology direct 2008 Apr 29;3:17
Biology direct 2008 Apr 29;3:17
Renal activation of extracellular signal-regulated kinase in rats with autosomal-dominant polycystic kidney disease
Shizuko Nagao, Tamio Yamaguchi, Masatomo Kusaka, Robin L Maser, Hisahide Takahashi, Benjamin D Cowley, Jared J Grantham
Kidney International 2003 Feb;63(2):427-437
Kidney International 2003 Feb;63(2):427-437
cAMP-independent role of PKA in tonicity-induced transactivation of tonicity-responsive enhancer/ osmotic response element-binding protein.
Ferraris JD, Persaud P, Williams CK, Chen Y, Burg MB
Proceedings of the National Academy of Sciences of the United States of America 2002 Dec 24;99(26):16800-5
Proceedings of the National Academy of Sciences of the United States of America 2002 Dec 24;99(26):16800-5
No comments: Submit comment
Supportive validation
- Submitted by
- per
- Main image

- Experimental details
- Western blot analysis of antibody specificity using a routine panel composed of IgG/HSA-depleted human plasma and protein lysates from selected human tissues and cell lines.
- Validation comment
- Band of predicted size in kDa (+/-20%) with additional bands present.
- Primary Ab dilution
- 1:500
- Secondary Ab dilution
- 1:3000
- Lane 1
- Marker [kDa]: 219, 111, 83, 48, 32, 26, 17
- Lane 2
- RT-4
- Lane 3
- U-251MG sp
- Lane 4
- Human Plasma
- Lane 5
- Liver
- Lane 6
- Tonsil
- Theoretical target weight
- [kDa] 40
Supportive validation
- Submitted by
- per
- Main image

- Experimental details
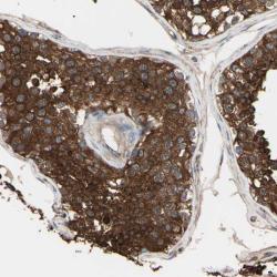
- Immunohistochemical staining of human testis shows strong cytoplasmic positivity in cells of seminiferus ducts.
- Validation comment
- Staining pattern consistent with experimental and/or bioinformatic data.