Antibody data
- Antibody Data
- Antigen structure
- References [0]
- Comments [0]
- Validations
- Western blot [1]
- Immunocytochemistry [1]
- Immunohistochemistry [10]
Submit
Validation data
Reference
Comment
Report error
- Product number
- GTX32562 - Provider product page

- Provider
- GeneTex
- Product name
- DKC1 antibody
- Antibody type
- Polyclonal
- Reactivity
- Human, Mouse
- Host
- Rabbit
No comments: Submit comment
Supportive validation
- Submitted by
- GeneTex (provider)
- Main image

- Experimental details
- Western blot analysis of extracts of various cell lines, using DKC1 antibody.
Supportive validation
- Submitted by
- GeneTex (provider)
- Main image

- Experimental details
- Immunofluorescence analysis of U2OS cell using DKC1 antibody. Blue: DAPI for nuclear staining.
Supportive validation
- Submitted by
- GeneTex (provider)
- Main image

- Experimental details
- Immunohistochemistry of paraffin-embedded Human colon using DKC1 antibody at dilution of 1:100 (x400 lens).
- Submitted by
- GeneTex (provider)
- Main image

- Experimental details
- Immunohistochemistry of paraffin-embedded Human esophageal using DKC1 antibody at dilution of 1:100 (x400 lens).
- Submitted by
- GeneTex (provider)
- Main image

- Experimental details
- Immunohistochemistry of paraffin-embedded human esophageal cancer using DKC1 antibody at dilution of 1:100 (x400 lens).
- Submitted by
- GeneTex (provider)
- Main image

- Experimental details
- Immunohistochemistry of paraffin-embedded Human gastric using DKC1 antibody at dilution of 1:100 (x400 lens).
- Submitted by
- GeneTex (provider)
- Main image

- Experimental details
- Immunohistochemistry of paraffin-embedded Human gastric cancer using DKC1 antibody at dilution of 1:100 (x400 lens).
- Submitted by
- GeneTex (provider)
- Main image

- Experimental details
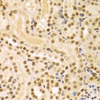
- Immunohistochemistry of paraffin-embedded Human kidney using DKC1 antibody at dilution of 1:100 (x400 lens).
- Submitted by
- GeneTex (provider)
- Main image

- Experimental details
- Immunohistochemistry of paraffin-embedded liver cancer using DKC1 antibody at dilution of 1:100 (x400 lens).
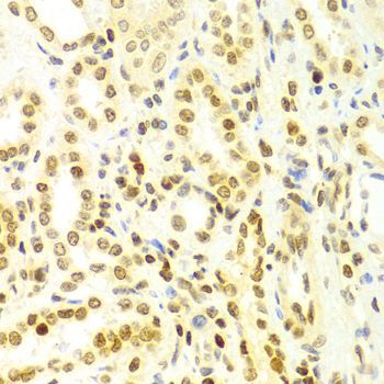
- Submitted by
- GeneTex (provider)
- Main image

- Experimental details
- Immunohistochemistry of paraffin-embedded Mouse brain using DKC1 antibody at dilution of 1:100 (x400 lens).
- Submitted by
- GeneTex (provider)
- Main image

- Experimental details
- Immunohistochemistry of paraffin-embedded Mouse kidney using DKC1 antibody at dilution of 1:100 (x400 lens).
- Submitted by
- GeneTex (provider)
- Main image

- Experimental details
- Immunohistochemistry of paraffin-embedded Mouse pancreas using DKC1 antibody at dilution of 1:100 (x400 lens).