Antibody data
- Antibody Data
- Antigen structure
- References [0]
- Comments [0]
- Validations
- Western blot [1]
- Immunohistochemistry [1]
Submit
Validation data
Reference
Comment
Report error
- Product number
- GTX111779 - Provider product page

- Provider
- GeneTex
- Proper citation
- GeneTex Cat#GTX111779, RRID:AB_1950940
- Product name
- MPP1 antibody [N1C1]
- Antibody type
- Polyclonal
- Reactivity
- Human
- Host
- Rabbit
No comments: Submit comment
Supportive validation
- Submitted by
- GeneTex (provider)
- Main image

- Experimental details
- Sample (30 ug of whole cell lysate) A: Hep G2 (GTX27900) 10% SDS PAGE GTX111779 diluted at 1:1000
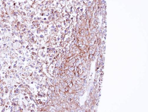
Supportive validation
- Submitted by
- GeneTex (provider)
- Main image

- Experimental details
- Immunohistochemical analysis of paraffin-embedded H3347 xenograft , using MPP1(GTX111779) antibody at 1:100 dilution.