Antibody data
- Antibody Data
- Antigen structure
- References [0]
- Comments [0]
- Validations
- Western blot [2]
- Immunocytochemistry [1]
- Immunohistochemistry [1]
- Flow cytometry [1]
Submit
Validation data
Reference
Comment
Report error
- Product number
- F50477 - Provider product page

- Provider
- NSJ Bioreagents
- Product name
- CDK4 Antibody
- Antibody type
- Polyclonal
- Description
- This highly specific CDK4 antibody is suitable for use in Flow cytometry/Immunohistochemistry/Western blot/Immunofluorescence/ELISA applications with human samples.
- Reactivity
- Human
- Host
- Rabbit
- Conjugate
- Unconjugated
- Vial size
- 0.08 ml, 0.4 ml
- Concentration
- In 1X PBS, pH 7.4, with 0.09% sodium azide
- Storage
- Aliquot the CDK4 antibody and store frozen at -20oC or colder. Avoid repeated freeze-thaw cycles.
No comments: Submit comment
Supportive validation
- Submitted by
- NSJ Bioreagents (provider)
- Main image

- Experimental details
- Western blot analysis of CDK4 antibody and HL-60 cell lysate
- Submitted by
- NSJ Bioreagents (provider)
- Main image

- Experimental details
- Western blot analysis of CDK4 antibody and 293 cell lysate (2 ug/lane) either nontransfected (Lane 1) or transiently transfected with the CDK4 gene (2).
Supportive validation
- Submitted by
- NSJ Bioreagents (provider)
- Main image

- Experimental details
- Fluorescent image of HeLa cells stained with CDK4 antibody at 1:25. CDK4 immunoreactivity is localized to the cytoplasm.
Supportive validation
- Submitted by
- NSJ Bioreagents (provider)
- Main image

- Experimental details
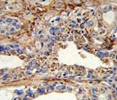
- IHC analysis of FFPE human prostate carcinoma with CDK4 antibody
Supportive validation
- Submitted by
- NSJ Bioreagents (provider)
- Main image

- Experimental details
- CDK4 antibody flow cytometric analysis of HL-60 cells (bottom histogram) compared to a negative control (top histogram). FITC-conjugated goat-anti-rabbit secondary Ab was used for the analysis.