Antibody data
- Antibody Data
- Antigen structure
- References [0]
- Comments [0]
- Validations
- Western blot [1]
- Immunohistochemistry [1]
Submit
Validation data
Reference
Comment
Report error
- Product number
- MAB5835 - Provider product page

- Provider
- Novus Biologicals
- Product name
- Mouse Monoclonal VRK1 Antibody
- Antibody type
- Monoclonal
- Description
- Protein A or G purified from hybridoma culture supernatant. Detects human VRK1 in Western blots.
- Reactivity
- Human
- Host
- Mouse
- Conjugate
- Unconjugated
- Isotype
- IgG
- Vial size
- 100 ug
- Storage
- Use a manual defrost freezer and avoid repeated freeze-thaw cycles. 12 months from date of receipt, -20 to -70 degreesC as supplied. 1 month, 2 to 8 degreesC under sterile conditions after reconstitution. 6 months, -20 to -70 degreesC under sterile conditions after reconstitution.
No comments: Submit comment
Supportive validation
- Submitted by
- Novus Biologicals (provider)
- Main image

- Experimental details
- Detection of Human VRK1 by Western Blot. Western blot shows lysates of 293T human embryonic kidney cell line, HeLa human cervical epithelial carcinoma cell line, and MCF-7 human breast cancer cell line. PVDF membrane was probed with 1 µg/mL of Mouse Anti-Human VRK1 Monoclonal Antibody (Catalog # MAB5835) followed by HRP-conjugated Anti-Mouse IgG Secondary Antibody (Catalog # HAF007). A specific band was detected for VRK1 at approximately 54 kDa (as indicated). This experiment was conducted under reducing conditions and using Immunoblot Buffer Group 1.
Supportive validation
- Submitted by
- Novus Biologicals (provider)
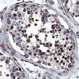
- Main image

- Experimental details
- VRK1 in Human Testis. VRK1 was detected in immersion fixed paraffin-embedded sections of human testis using Mouse Anti-Human VRK1 Monoclonal Antibody (Catalog # MAB5835) at 1.7 µg/mL for 1 hour at room temperature followed by incubation with the Anti-Mouse IgG VisUCyte™ HRP Polymer Antibody (Catalog # VC001). Tissue was stained using DAB (brown) and counterstained with hematoxylin (blue). Specific staining was localized to cytoplasm and nuclei of sperm cells. View our protocol for IHC Staining with VisUCyte HRP Polymer Detection Reagents.