Antibody data
- Antibody Data
- Antigen structure
- References [0]
- Comments [0]
- Validations
- Western blot [1]
- Immunohistochemistry [3]
Submit
Validation data
Reference
Comment
Report error
- Product number
- NBP1-89118 - Provider product page

- Provider
- Novus Biologicals
- Proper citation
- Novus Cat#NBP1-89118, RRID:AB_11033446
- Product name
- Rabbit Polyclonal IGFALS/ALS Antibody
- Antibody type
- Polyclonal
- Description
- Immunogen affinity purified. Specificity of human IGFALS antibody verified on a Protein Array containing target protein plus 383 other non-specific proteins.
- Reactivity
- Human
- Host
- Rabbit
- Isotype
- IgG
- Vial size
- 0.1 ml
- Storage
- Store at 4C short term. Aliquot and store at -20C long term. Avoid freeze-thaw cycles.
No comments: Submit comment
Supportive validation
- Submitted by
- Novus Biologicals (provider)
- Main image

- Experimental details
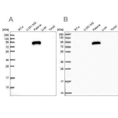
- Western Blot: IGFALS/ALS Antibody [NBP1-89118] - Analysis using Anti-IGFALS antibody NBP1-89118 (A) shows similar pattern to independent antibody NBP1-89117 (B).
Supportive validation
- Submitted by
- Novus Biologicals (provider)
- Main image

- Experimental details
- Immunohistochemistry-Paraffin: IGFALS/ALS Antibody [NBP1-89118] - Staining of human skeletal muscle shows no positivity in myocytes.
- Submitted by
- Novus Biologicals (provider)
- Main image

- Experimental details
- Immunohistochemistry-Paraffin: IGFALS/ALS Antibody [NBP1-89118] - Staining of human gallbladder shows weak cytoplasmic positivity in glandular cells.
- Submitted by
- Novus Biologicals (provider)
- Main image

- Experimental details
- Immunohistochemistry-Paraffin: IGFALS/ALS Antibody [NBP1-89118] - Staining of human stomach shows moderate cytoplasmic positivity in glandular cells.