Antibody data
- Antibody Data
- Antigen structure
- References [0]
- Comments [0]
- Validations
- Western blot [1]
- Immunohistochemistry [1]
Submit
Validation data
Reference
Comment
Report error
- Product number
- STJ11102623 - Provider product page
- Provider
- St John's Laboratory
- Product name
- Anti-Phospho-GSK3B-S9 antibody [ARC0069] (STJ11102623)
- Antibody type
- Monoclonal
- Description
- Rabbit monoclonal antibody anti-Phospho-GSK3 Beta-S9 is suitable for use in Western Blot and Immunohistochemistry.
- Reactivity
- Human, Mouse
- Host
- Rabbit
- Conjugate
- Unconjugated
- Antigen sequence
NA
- Epitope
- NA
- Isotype
- IgG
- Antibody clone number
- NA
- Vial size
- NA
- Concentration
- NA
- Storage
- Store in a freezer at-20°C and avoid freeze-thaw cycles.
- Handling
- NA
No comments: Submit comment
Supportive validation
- Submitted by
- St John's Laboratory (provider)
- Main image
- Experimental details
- Western blot analysis of extracts of various cell lines, using Phospho-GSK3 Beta-S9 rabbit monoclonal antibody (STJ11102623) at 1:1000 dilution. HeLa and NIH/3T3 cells were treated by Calyculin A (100 nM) at 37 °C for 30 minutes after serum-starvation overnight. Secondary antibody: HRP Goat Anti-rabbit IgG (H+L) at 1:10000 dilution. Lysates/proteins: 25ug per lane. Blocking buffer: 3% nonfat dry milk in TBST. Detection: ECL Basic Kit. Exposure time: 1s.
- Sample type
- NA
- Validation comment
- NA
- Primary Ab dilution
- NA
- Other comments
- NA
- Secondary Ab
- NA
- Secondary Ab dilution
- NA
- Protocol
- NA
Supportive validation
- Submitted by
- St John's Laboratory (provider)
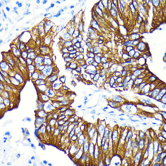
- Main image
- Experimental details
- Immunohistochemistry of paraffin-embedded human colon carcinoma using Phospho-GSK3 Beta-S9 antibody (STJ11102623) at dilution of 1:100 (40x lens).
- Sample type
- NA
- Validation comment
- NA
- Primary Ab dilution
- NA
- Other comments
- NA
- Secondary Ab
- NA
- Secondary Ab dilution
- NA
- Protocol
- NA