Antibody data
- Antibody Data
- Antigen structure
- References [0]
- Comments [0]
- Validations
- Western blot [1]
- Immunohistochemistry [7]
Submit
Validation data
Reference
Comment
Report error
- Product number
- LS-C781857 - Provider product page

- Provider
- LSBio
- Product name
- E2F4 Antibody LS-C781857
- Antibody type
- Polyclonal
- Description
- Antigen Affinity purification
- Reactivity
- Human, Mouse, Rat
- Host
- Rabbit
- Isotype
- IgG
- Storage
- After reconstitution, store at 4°C for up to 1 month. Long-term: aliquot and store at -20°C. Avoid freeze-thaws cycles.
No comments: Submit comment
Enhanced validation
- Submitted by
- LSBio (provider)
- Enhanced method
- Genetic validation
- Main image

- Experimental details
- Western blot testing of human 1) HeLa, 2) U-2 OS and 3) MCF7 lysate with E2F4 antibody at 0.5ug/ml. Expected molecular weight ~44 kDa (unmodified) and 60-65 kDa (phosphorylated).
Enhanced validation
- Submitted by
- LSBio (provider)
- Enhanced method
- Genetic validation
- Main image

- Experimental details
- IHC testing of FFPE rat intestine with E2F4 antibody at 1ug/ml. HIER: steam section in pH6 citrate buffer for 20 min.
- Submitted by
- LSBio (provider)
- Enhanced method
- Genetic validation
- Main image

- Experimental details
- IHC testing of FFPE mouse intestine with E2F4 antibody at 1ug/ml. HIER: steam section in pH6 citrate buffer for 20 min.
- Submitted by
- LSBio (provider)
- Enhanced method
- Genetic validation
- Main image

- Experimental details
- IHC testing of FFPE rat intestine with E2F4 antibody at 1ug/ml. HIER: steam section in pH6 citrate buffer for 20 min.
- Submitted by
- LSBio (provider)
- Enhanced method
- Genetic validation
- Main image

- Experimental details
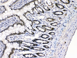
- IHC testing of FFPE human intestinal cancer tissue with E2F4 antibody at 1ug/ml. HIER: steam section in pH6 citrate buffer for 20 min.
- Submitted by
- LSBio (provider)
- Main image

- Experimental details
- IHC testing of FFPE human intestinal cancer tissue with E2F4 antibody at 1ug/ml. HIER: steam section in pH6 citrate buffer for 20 min.
- Submitted by
- LSBio (provider)
- Main image

- Experimental details
- IHC testing of FFPE mouse intestine with E2F4 antibody at 1ug/ml. HIER: steam section in pH6 citrate buffer for 20 min.
- Submitted by
- LSBio (provider)
- Main image

- Experimental details
- IHC testing of FFPE rat intestine with E2F4 antibody at 1ug/ml. HIER: steam section in pH6 citrate buffer for 20 min.