Antibody data
- Antibody Data
- Antigen structure
- References [0]
- Comments [0]
- Validations
- Western blot [1]
- Immunohistochemistry [2]
Submit
Validation data
Reference
Comment
Report error
- Product number
- GTX32567 - Provider product page

- Provider
- GeneTex
- Product name
- DUSP6 antibody
- Antibody type
- Polyclonal
- Reactivity
- Mouse
- Host
- Rabbit
No comments: Submit comment
Supportive validation
- Submitted by
- GeneTex (provider)
- Main image

- Experimental details
- Western blot analysis of extracts of various tissues, using DUSP6 antibody.
Supportive validation
- Submitted by
- GeneTex (provider)
- Main image

- Experimental details
- Immunohistochemistry of paraffin-embedded human ovarian cancer tissue using DUSP6 antibody.
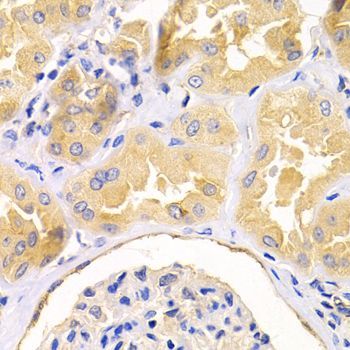
- Submitted by
- GeneTex (provider)
- Main image

- Experimental details
- Immunohistochemistry of paraffin-embedded human kidney cancer using DUSP6 antibody at dilution of 1:200 (400x lens).