Antibody data
- Antibody Data
- Antigen structure
- References [1]
- Comments [0]
- Validations
- Immunohistochemistry [1]
Submit
Validation data
Reference
Comment
Report error
- Product number
- bs-2677R - Provider product page

- Provider
- Bioss
- Proper citation
- Bioss Cat#bs-2677R, RRID:AB_10857553
- Product name
- LRP1/CD91 Polyclonal Antibody
- Antibody type
- Polyclonal
- Description
- KLH conjugated synthetic peptide derived from human CD91
- Reactivity
- Human, Mouse, Rat
- Host
- Rabbit
- Conjugate
- Unconjugated
- Isotype
- IgG
- Vial size
- 100ul
- Concentration
- 1ug/ul
- Storage
- Aqueous buffered solution containing 1% BSA, 50% glycerol and 0.09% sodium azide. Store at -20°C for 12 months.
Submitted references Neuropathy optic glaucomatosa induced by systemic hypertension through activation endothelin-1 signaling pathway in central retinal artery in rats.
Prayitnaningsih S, Sujuti H, Effendi M, Abdullah A, Anandita NW, Yohana F, Permatasari N, Widodo MA
International journal of ophthalmology 2016;9(11):1568-1577
International journal of ophthalmology 2016;9(11):1568-1577
No comments: Submit comment
Supportive validation
- Submitted by
- Bioss (provider)
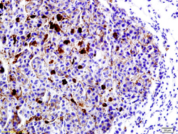
- Main image

- Experimental details
- Formalin-fixed and paraffin embedded mouse lung cancer labeled with Anti-LRP1/CD91 Polyclonal Antibody, Unconjugated (bs-2677R) at 1:200 followed by conjugation to the secondary antibody and DAB staining
- Sample type
- Mouse
- Other comments
- Lung