H00004035-B01P
antibody from Abnova Corporation
Targeting: LRP1
A2MR, APOER, APR, CD91, IGFBP-3R, IGFBP3R1, LRP, LRP1A
Antibody data
- Antibody Data
- Antigen structure
- References [0]
- Comments [0]
- Validations
- Western blot [1]
- Immunocytochemistry [1]
- Immunohistochemistry [1]
Submit
Validation data
Reference
Comment
Report error
- Product number
- H00004035-B01P - Provider product page

- Provider
- Abnova Corporation
- Proper citation
- Abnova Corporation Cat#H00004035-B01P, RRID:AB_1678163
- Product name
- LRP1 purified MaxPab mouse polyclonal antibody (B01P)
- Antibody type
- Polyclonal
- Description
- Mouse polyclonal antibody raised against a full-length human LRP1 protein.
- Antigen sequence
MLTPPLLLLLPLLSALVAAAIDAPKTCSPKQFACR
DQITCISKGWRCDGERDCPDGSDEAPEICPQSKAQ
RCQPNEHNCLGTELCVPMSRLCNGVQDCMDGSDEG
PHCRELQGNCSRLGCQHHCVPTLDGPTCYCNSSFQ
LQADGKTCKDFDECSVYGTCSQLCTNTDGSFICGC
VEGYLLQPDNRSCKAKNEPVDRPPVLLIANSQNIL
ATYLSGAQVSTITPTSTRQTTAMDFSYANETVCWV
HVGDSAAQTQLKCARMPGLKGFVDEHTINISLSLH
LCVFSKSQQEMG- Storage
- Store at -20°C or lower. Aliquot to avoid repeated freezing and thawing.
No comments: Submit comment
Supportive validation
- Submitted by
- Abnova Corporation (provider)
- Main image

- Experimental details
- Western Blot analysis of LRP1 expression in transfected 293T cell line (H00004035-T01) by LRP1 MaxPab polyclonal antibody.Lane 1: LRP1 transfected lysate(32.12 KDa).Lane 2: Non-transfected lysate.
Supportive validation
- Submitted by
- Abnova Corporation (provider)
- Main image

- Experimental details
- Immunofluorescence of purified MaxPab antibody to LRP1 on HeLa cell. [antibody concentration 10 ug/ml]
- Validation comment
- Immunofluorescence
- Protocol
- Protocol
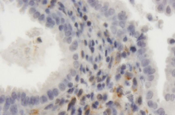
Supportive validation
- Submitted by
- Abnova Corporation (provider)
- Main image

- Experimental details
- Immunoperoxidase of purified MaxPab antibody to LRP1 on formalin-fixed paraffin-embedded human endometrium. [antibody concentration 3 ug/ml]
- Validation comment
- Immunohistochemistry (Formalin/PFA-fixed paraffin-embedded sections)
- Protocol
- Protocol