sc-20772
antibody from Santa Cruz Biotechnology
Targeting: CYP1A1
CP11, CYP1, P1-450, P450-C, P450DX
Antibody data
- Antibody Data
- Antigen structure
- References [1]
- Comments [0]
- Validations
- Immunohistochemistry [1]
Submit
Validation data
Reference
Comment
Report error
- Product number
- sc-20772 - Provider product page

- Provider
- Santa Cruz Biotechnology
- Proper citation
- Santa Cruz Biotechnology Cat#sc-20772, RRID:AB_2088699
- Product name
- Anti-CYP1A1
- Antibody type
- Polyclonal
- Antigen
- Recombinant full-length protein
- Reactivity
- Human
- Host
- Rabbit
Submitted references Deducing in vivo toxicity of combustion-derived nanoparticles from a cell-free oxidative potency assay and metabolic activation of organic compounds.
Stoeger T, Takenaka S, Frankenberger B, Ritter B, Karg E, Maier K, Schulz H, Schmid O
Environmental health perspectives 2009 Jan;117(1):54-60
Environmental health perspectives 2009 Jan;117(1):54-60
No comments: Submit comment
Supportive validation
- Submitted by
- per
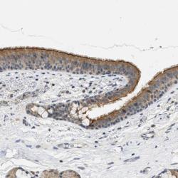
- Main image

- Experimental details
- Immunohistochemical staining of human bronchus shows moderate cytoplasmic positivity in respiratory epithelial cells. A strong membranous staining was also noted.
- Validation comment
- Staining pattern partly consistent with experimental and/or bioinformatic data.