Antibody data
- Antibody Data
- Antigen structure
- References [0]
- Comments [0]
- Validations
- Western blot [2]
- Immunoprecipitation [3]
- Immunohistochemistry [6]
Submit
Validation data
Reference
Comment
Report error
- Product number
- LS-C375177 - Provider product page

- Provider
- LSBio
- Product name
- DDX / AKR1C3 Antibody (aa1-323) LS-C375177
- Antibody type
- Polyclonal
- Description
- Immunoaffinity purified
- Reactivity
- Human
- Host
- Rabbit
- Isotype
- IgG
- Storage
- Short term: -20°C; Long term: -80°C; Avoid freeze-thaw cycles.
No comments: Submit comment
Enhanced validation
- Submitted by
- LSBio (provider)
- Enhanced method
- Genetic validation
- Main image

- Experimental details
- Western blot. All lanes: Aldo-keto reductase family 1 member C3 antibody at 8 ug/ml. Lane 1: K562 whole cell lysate. Lane 2: 293T whole cell lysate. Secondary antibody: Goat polyclonal to rabbit at 1:10000 dilution. Predicted band size: 37 kDa. Observed band size: 37 kDa.
- Submitted by
- LSBio (provider)
- Enhanced method
- Genetic validation
- Main image

- Experimental details
- Western blot All lanes: AKR1C3 antibody at 8µg/ml Lane 1: K562 whole cell lysate Lane 2: Hela whole cell lysate Secondary Goat polyclonal to rabbit IgG at 1/10000 dilution Predicted band size: 37, 24 kDa Observed band size: 37 kDa
Supportive validation
- Submitted by
- LSBio (provider)
- Enhanced method
- Genetic validation
- Main image

- Experimental details
- Immunoprecipitating AKR1C3 in HepG2 whole cell lysate Lane 1: Rabbit control IgG instead of AKR1C3 Antibody in HepG2 whole cell lysate.For western blotting, a HRP-conjugated Protein G antibody was used as the secondary antibody (1/2000) Lane 2: AKR1C3 Antibody (8µg) + HepG2 whole cell lysate (500µg) Lane 3: HepG2 whole cell lysate (10µg)
- Submitted by
- LSBio (provider)
- Main image

- Experimental details
- Immunoprecipitating AKR1C3 in HepG2 whole cell lysate Lane 1: Rabbit control IgG instead of AKR1C3 Antibody in HepG2 whole cell lysate.For western blotting, a HRP-conjugated Protein G antibody was used as the secondary antibody (1/2000) Lane 2: AKR1C3 Antibody (8µg) + HepG2 whole cell lysate (500µg) Lane 3: HepG2 whole cell lysate (10µg)
- Submitted by
- LSBio (provider)
- Main image

- Experimental details
- Immunoprecipitating AKR1C3 in HepG2 whole cell lysate Lane 1: Rabbit control IgG instead of AKR1C3 Antibody in HepG2 whole cell lysate.For western blotting, a HRP-conjugated Protein G antibody was used as the secondary antibody (1/2000) Lane 2: AKR1C3 Antibody (8µg) + HepG2 whole cell lysate (500µg) Lane 3: HepG2 whole cell lysate (10µg)
Supportive validation
- Submitted by
- LSBio (provider)
- Enhanced method
- Genetic validation
- Main image

- Experimental details
- Immunohistochemistry of paraffin-embedded human rectal cancer using antibody at 1:100 dilution.
- Submitted by
- LSBio (provider)
- Enhanced method
- Genetic validation
- Main image

- Experimental details
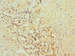
- Immunohistochemistry of paraffin-embedded human gallbladder using antibody at 1:100 dilution.
- Submitted by
- LSBio (provider)
- Enhanced method
- Genetic validation
- Main image

- Experimental details
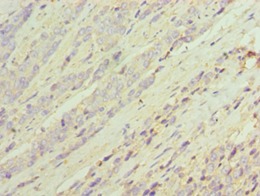
- Immunohistochemistry of paraffin-embedded human rectal cancer using antibody at 1:100 dilution.
- Submitted by
- LSBio (provider)
- Enhanced method
- Genetic validation
- Main image

- Experimental details
- Immunohistochemistry of paraffin-embedded human gallbladder using antibody at 1:100 dilution.
- Submitted by
- LSBio (provider)
- Enhanced method
- Genetic validation
- Main image

- Experimental details
- Immunohistochemistry of paraffin-embedded human gallbladder using antibody at 1:100 dilution.
- Submitted by
- LSBio (provider)
- Enhanced method
- Genetic validation
- Main image

- Experimental details
- Immunohistochemistry of paraffin-embedded human rectal cancer using antibody at 1:100 dilution.