Antibody data
- Antibody Data
- Antigen structure
- References [0]
- Comments [0]
- Validations
- Western blot [1]
- Immunohistochemistry [3]
Submit
Validation data
Reference
Comment
Report error
- Product number
- R30425 - Provider product page

- Provider
- NSJ Bioreagents
- Product name
- Presenilin 2 Antibody / PSEN2
- Antibody type
- Polyclonal
- Description
- This highly specific Presenilin 2 antibody is suitable for use in Western blot/Immunohistochemistry/Immunohistochemistry applications with human, mouse and rat samples.
- Reactivity
- Human, Mouse, Rat
- Host
- Rabbit
- Conjugate
- Unconjugated
- Vial size
- 100 ug
- Concentration
- 0.5mg/ml if reconstituted with 0.2ml sterile DI water
- Storage
- After reconstitution, the Presenilin 2 antibody can be stored for up to one month at 4oC. For long-term, aliquot and store at -20oC. Avoid repeated freezing and thawing.
No comments: Submit comment
Supportive validation
- Submitted by
- NSJ Bioreagents (provider)
- Main image

- Experimental details
- Western blot testing of Presenilin 2 antibody and Lane 1: rat brain; 2: rat brain; 3: MCF-7; 4: HeLa; 5: SMMC-7721; 6: CEM
Supportive validation
- Submitted by
- NSJ Bioreagents (provider)
- Main image

- Experimental details
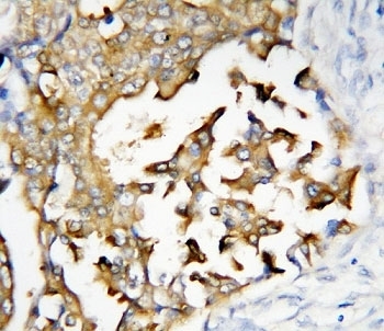
- IHC-P: Presenilin 2 antibody testing of human breast cancer tissue
- Submitted by
- NSJ Bioreagents (provider)
- Main image

- Experimental details
- IHC-P: Presenilin 2 antibody testing of rat kidney tissue
- Submitted by
- NSJ Bioreagents (provider)
- Main image

- Experimental details
- IHC-P: Presenilin 2 antibody testing of rat heart tissue