Antibody data
- Antibody Data
- Antigen structure
- References [0]
- Comments [0]
- Validations
- Western blot [1]
- Immunohistochemistry [1]
Submit
Validation data
Reference
Comment
Report error
- Product number
- ABIN261603 - Provider product page

- Provider
- antibodies-online
- Product name
- anti-Presenilin 2 (Alzheimer Disease 4) (PSEN2) antibody
- Antibody type
- Monoclonal
- Description
- Protein G purified
- Reactivity
- Human, Mouse, Rat, Simian
- Host
- Mouse
- Isotype
- IgG
- Antibody clone number
- APS 21
- Vial size
- 0.2 mg
- Storage
- Store at -20°C. Avoid freeze-thaw cycles.
- Handling
- Avoid freeze-thaw cycles
No comments: Submit comment
Supportive validation
- Submitted by
- antibodies-online (provider)
- Main image

- Experimental details
- WB
Supportive validation
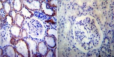
- Submitted by
- antibodies-online (provider)
- Main image

- Experimental details
- IHC