Antibody data
- Antibody Data
- Antigen structure
- References [0]
- Comments [0]
- Validations
- Western blot [2]
- Immunocytochemistry [2]
- Immunoprecipitation [1]
- Immunohistochemistry [1]
- Flow cytometry [2]
Submit
Validation data
Reference
Comment
Report error
- Product number
- TA500729 - Provider product page

- Provider
- OriGene
- Proper citation
- OriGene Cat#TA500729, RRID:AB_11128407
- Product name
- L1CAM mouse monoclonal antibody, clone OTI2C7 (formerly 2C7)
- Antibody type
- Monoclonal
- Description
- L1CAM mouse monoclonal antibody, clone OTI2C7 (formerly 2C7)
- Host
- Mouse
- Conjugate
- Unconjugated
- Epitope
- L1CAM
- Isotype
- IgG
- Antibody clone number
- OTI2C7
- Vial size
- 100 µl
- Concentration
- 0.46 mg/ml
No comments: Submit comment
Supportive validation
- Submitted by
- OriGene (provider)
- Main image

- Experimental details
- HEK293T cells were transfected with the pCMV6-ENTRY control (Left lane) or pCMV6-ENTRY L1CAM (RC211601, Right lane) cDNA for 48 hrs and lysed. Equivalent amounts of cell lysates (5 ug per lane) were separated by SDS-PAGE and immunoblotted with anti-L1CAM.
- Validation comment
- WB
- Submitted by
- OriGene (provider)
- Main image

- Experimental details
- Western blot analysis of extracts (35ug) from 9 different cell lines by using anti-L1CAM monoclonal antibody (HepG2: human; HeLa: human; SVT2: mouse; A549: human; COS7: monkey; Jurkat: human; MDCK: canine; PC12: rat; MCF7: human).(1:200)
- Validation comment
- WB
Supportive validation
- Submitted by
- OriGene (provider)
- Main image

- Experimental details
- Immunofluorescent staining of HeLa cells using anti-L1CAM mouse monoclonal antibody (TA500729).
- Validation comment
- IF
- Submitted by
- OriGene (provider)
- Main image

- Experimental details
- Anti-L1CAM mouse monoclonal antibody (TA500729) immunofluorescent staining of COS7 cells transiently transfected by pCMV6-ENTRY L1CAM(RC211601).
- Validation comment
- IF
Supportive validation
- Submitted by
- OriGene (provider)
- Main image

- Experimental details
- Immunoprecipitation of L1CAM by using TrueMab monoclonal anti-L1CAM antibody (Negative control: IP without adding anti-L1CAM antibody). For each experiment, 500ul of DDK tagged L1CAM overexpression lysates (at 1:5 dilution with HEK293T lysate), 2ug of ant
- Validation comment
- IP
Supportive validation
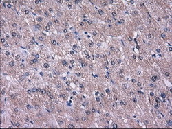
- Submitted by
- OriGene (provider)
- Main image

- Experimental details
- Immunohistochemical staining of paraffin-embedded Human liver tissue within the normal limits using anti-L1CAM mouse monoclonal antibody. (Heat-induced epitope retrieval by 10mM citric buffer, pH6.0, 100C for 10min, TA500729)
- Validation comment
- IHC
Supportive validation
- Submitted by
- OriGene (provider)
- Main image

- Experimental details
- HEK293T cells transfected with either RC211601 overexpress plasmid(Red) or empty vector control plasmid(Blue) were immunostained by anti-L1CAM antibody(TA500729), and then analyzed by flow cytometry.
- Validation comment
- FC
- Submitted by
- OriGene (provider)
- Main image

- Experimental details
- Flow cytometric Analysis of Hela cells, using anti-L1CAM antibody(TA500729),(Red), compared to a nonspecific negative control antibody(TA50011),(Blue).
- Validation comment
- FC