Antibody data
- Antibody Data
- Antigen structure
- References [0]
- Comments [0]
- Validations
- Western blot [1]
- Immunohistochemistry [1]
Submit
Validation data
Reference
Comment
Report error
- Product number
- AP21714PU-N - Provider product page

- Provider
- Acris Antibodies GmbH
- Proper citation
- Acris Antibodies GmbH Cat#AP21714PU-N, RRID:AB_10757952
- Product name
- anti CXCR7 / GPR159
- Antibody type
- Polyclonal
- Antigen
- A synthetic peptide (QHNQWPMGELTC) corresponding amino acids 106-117 of human CXCR7/RDC1
- Reactivity
- Human, Mouse, Rat, Bovine, Simian
- Host
- Rabbit
- Vial size
- 0.1 mg
- Concentration
- 0.5 mg/ml
No comments: Submit comment
Supportive validation
- Submitted by
- Acris Antibodies GmbH (provider)
- Main image

- Experimental details
- Western blot analysis of human CXCR7/RDC1 in Jurkat cell lysate in the 1) absence and 2) presence of immunizing peptide using AP21714PU-N at 5 µg/ml.
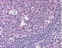
Supportive validation
- Submitted by
- Acris Antibodies GmbH (provider)
- Main image

- Experimental details
- Immunohistochemical analysis of RDC1 in paraffin-embedded formalin-fixed human tonsil tissue using AP21714PU-N at 10 µg/ml.