Antibody data
- Antibody Data
- Antigen structure
- References [0]
- Comments [0]
- Validations
- Western blot [2]
- Immunocytochemistry [1]
- Immunohistochemistry [1]
- Flow cytometry [1]
Submit
Validation data
Reference
Comment
Report error
- Product number
- MAB10288 - Provider product page

- Provider
- Abnova Corporation
- Proper citation
- Abnova Corporation Cat#MAB10288, RRID:AB_11188067
- Product name
- OTX2 monoclonal antibody, clone 1H12C4B5
- Antibody type
- Monoclonal
- Description
- Mouse monoclonal antibody raised against recombinant OTX2.
- Isotype
- IgG
- Antibody clone number
- 1H12C4B5
- Storage
- Store at 4°C. For long term storage store at -20°C.Aliquot to avoid repeated freezing and thawing.
No comments: Submit comment
Supportive validation
- Submitted by
- Abnova Corporation (provider)
- Main image

- Experimental details
- Western blot analysis using OTX2 monoclonal antobody, clone 1H12C4B5 (Cat # MAB10288) against HepG2 (1), Jurkat (2), and NTERA-2 (3) cell lysate.
- Submitted by
- Abnova Corporation (provider)
- Main image

- Experimental details
- Western blot analysis using OTX2 monoclonal antobody, clone 1H12C4B5 (Cat # MAB10288) against recombinant human OTX2 protein.
Supportive validation
- Submitted by
- Abnova Corporation (provider)
- Main image

- Experimental details
- Immunofluorescence analysis of HepG2 cells using OTX2 monoclonal antobody, clone 1H12C4B5 (Cat # MAB10288) (green). Red: Actin filaments have been labeled with Alexa Fluor-555 phalloidin.
- Validation comment
- Immunofluorescence
Supportive validation
- Submitted by
- Abnova Corporation (provider)
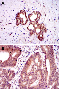
- Main image

- Experimental details
- Immunohistochemical analysis of paraffin-embedded human prostate tissue (A) and colon cancer tissue (B) using OTX2 monoclonal antobody, clone 1H12C4B5 (Cat # MAB10288) with DAB staining.
- Validation comment
- Immunohistochemistry (Formalin/PFA-fixed paraffin-embedded sections)
Supportive validation
- Submitted by
- Abnova Corporation (provider)
- Main image

- Experimental details
- Flow cytometric analysis of HepG2 cells using OTX2 monoclonal antobody, clone 1H12C4B5 (Cat # MAB10288) (green) and negative control (purple).
- Validation comment
- Flow Cytometry