Antibody data
- Antibody Data
- Antigen structure
- References [3]
- Comments [0]
- Validations
- Western blot [1]
- Immunohistochemistry [1]
Submit
Validation data
Reference
Comment
Report error
- Product number
- sc-17829 - Provider product page

- Provider
- Santa Cruz Biotechnology
- Proper citation
- Santa Cruz Biotechnology Cat#sc-17829, RRID:AB_626633
- Product name
- Anti-ACTN1
- Antibody type
- Monoclonal
- Antigen
- Recombinant full-length protein
- Reactivity
- Human
- Host
- Mouse
Submitted references Concordant regulation of translation and mRNA abundance for hundreds of targets of a human microRNA.
Development of a multiplex quantitative PCR signature to predict progression in non-muscle-invasive bladder cancer.
Bone morphogenetic protein signaling modulates myocardin transactivation of cardiac genes.
Hendrickson DG, Hogan DJ, McCullough HL, Myers JW, Herschlag D, Ferrell JE, Brown PO
PLoS biology 2009 Nov;7(11):e1000238
PLoS biology 2009 Nov;7(11):e1000238
Development of a multiplex quantitative PCR signature to predict progression in non-muscle-invasive bladder cancer.
Wang R, Morris DS, Tomlins SA, Lonigro RJ, Tsodikov A, Mehra R, Giordano TJ, Kunju LP, Lee CT, Weizer AZ, Chinnaiyan AM
Cancer research 2009 May 1;69(9):3810-8
Cancer research 2009 May 1;69(9):3810-8
Bone morphogenetic protein signaling modulates myocardin transactivation of cardiac genes.
Callis TE, Cao D, Wang DZ
Circulation research 2005 Nov 11;97(10):992-1000
Circulation research 2005 Nov 11;97(10):992-1000
No comments: Submit comment
Supportive validation
- Submitted by
- per
- Main image

- Experimental details
- Western blot analysis of antibody specificity using a routine panel composed of IgG/HSA-depleted human plasma and protein lysates from selected human tissues and cell lines.
- Validation comment
- Single band corresponding to the predicted size in kDa (+/-20%).
- Primary Ab dilution
- 1:500
- Secondary Ab dilution
- 1:7000
- Lane 1
- Marker [kDa]: 230, 110, 82, 49.3, 32.2, 25.5, 17.6
- Lane 2
- RT-4
- Lane 3
- U-251MG sp
- Lane 4
- Human Plasma
- Lane 5
- Liver
- Lane 6
- Tonsil
- Theoretical target weight
- [kDa] 103
Supportive validation
- Submitted by
- per
- Main image

- Experimental details
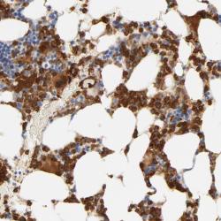
- Immunohistochemical staining of human bone marrow shows strong cytoplasmic positivity in bone marrow poietic cells.
- Validation comment
- Staining pattern consistent with experimental and/or bioinformatic data.