Antibody data
- Antibody Data
- Antigen structure
- References [0]
- Comments [0]
- Validations
- Western blot [1]
- Immunohistochemistry [6]
Submit
Validation data
Reference
Comment
Report error
- Product number
- NBP2-30583 - Provider product page

- Provider
- Novus Biologicals
- Product name
- Rabbit Polyclonal ABI3 Antibody
- Antibody type
- Polyclonal
- Description
- Immunogen affinity purified. Specificity of human ABI3 antibody verified on a Protein Array containing target protein plus 383 other non-specific proteins.
- Reactivity
- Human
- Host
- Rabbit
- Isotype
- IgG
- Vial size
- 0.1 ml
- Storage
- Store at 4C short term. Aliquot and store at -20C long term. Avoid freeze-thaw cycles.
No comments: Submit comment
Supportive validation
- Submitted by
- Novus Biologicals (provider)
- Main image

- Experimental details
- Western Blot: ABI3 Antibody [NBP2-30583] - Lane 1: Marker [kDa] 230, 130, 95, 72, 56, 36, 28, 17, 11. Lane 2: Human cell line RT-4. Lane 3: Human cell line U-251MG sp. Lane 4: Human plasma (IgG/HSA depleted). Lane 5: Human liver tissue
Supportive validation
- Submitted by
- Novus Biologicals (provider)
- Main image

- Experimental details
- Immunohistochemistry-Paraffin: ABI3 Antibody [NBP2-30583] - Staining of human pancreas shows no cytoplasmic positivity in exocrine glandular cells as expected.
- Submitted by
- Novus Biologicals (provider)
- Main image

- Experimental details
- Immunohistochemistry-Paraffin: ABI3 Antibody [NBP2-30583] - Staining of human small intestine shows weak to moderate cytoplasmic positivity in lymphoid cells.
- Submitted by
- Novus Biologicals (provider)
- Main image

- Experimental details
- Immunohistochemistry-Paraffin: ABI3 Antibody [NBP2-30583] - Staining of human cerebral cortex shows weak to moderate cytoplasmic positivity in glial cells.
- Submitted by
- Novus Biologicals (provider)
- Main image

- Experimental details
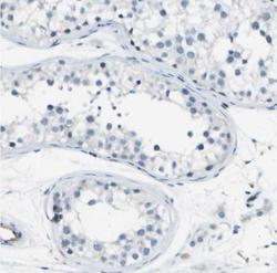
- Immunohistochemistry-Paraffin: ABI3 Antibody [NBP2-30583] - Staining of human testis shows no positivity in cells in tubules as expected.
- Submitted by
- Novus Biologicals (provider)
- Main image

- Experimental details
- Immunohistochemistry-Paraffin: ABI3 Antibody [NBP2-30583] - Staining of human tonsil shows moderate to strong cytoplasmic positivity in non - germinal center cells.
- Submitted by
- Novus Biologicals (provider)
- Main image

- Experimental details
- Immunohistochemistry-Paraffin: ABI3 Antibody [NBP2-30583] - Analysis in human tonsil and pancreas tissues. Corresponding ABI3 RNA-seq data are presented for the same tissues.