Antibody data
- Antibody Data
- Antigen structure
- References [0]
- Comments [0]
- Validations
- Western blot [1]
- Immunohistochemistry [1]
Submit
Validation data
Reference
Comment
Report error
- Product number
- BS-5985R - Provider product page

- Provider
- Invitrogen Antibodies
- Product name
- ABI3 Polyclonal Antibody
- Antibody type
- Polyclonal
- Antigen
- Synthetic peptide
- Reactivity
- Human, Mouse, Rat
- Host
- Rabbit
- Isotype
- IgG
- Vial size
- 100 µL
- Concentration
- 1 mg/mL
- Storage
- -20°C
No comments: Submit comment
Supportive validation
- Submitted by
- Invitrogen Antibodies (provider)
- Main image

- Experimental details
- Mouse heart lysates probed with ABI3 Polyclonal Antibody, unconjugated (bs-5985R) at 1:2000 overnight at 4°C followed by a conjugated secondary antibody for 60 minutes at 37°C.
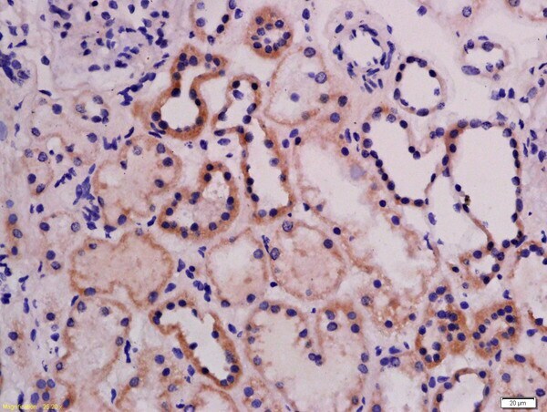
Supportive validation
- Submitted by
- Invitrogen Antibodies (provider)
- Main image

- Experimental details
- Formalin-fixed and paraffin embedded rat kidney labeled with Rabbit Anti-ABI3 Polyclonal Antibody, Unconjugated (bs-5985R) at 1:200 followed by conjugation to the secondary antibody and DAB staining.