Antibody data
- Antibody Data
- Antigen structure
- References [0]
- Comments [0]
- Validations
- Western blot [3]
- Immunohistochemistry [1]
- Flow cytometry [1]
Submit
Validation data
Reference
Comment
Report error
- Product number
- BS-1419R - Provider product page

- Provider
- Invitrogen Antibodies
- Product name
- MC-1R/MC1 Receptor Polyclonal Antibody
- Antibody type
- Polyclonal
- Antigen
- Synthetic peptide
- Reactivity
- Human, Mouse, Rat
- Host
- Rabbit
- Isotype
- IgG
- Vial size
- 100 µL
- Concentration
- 1 mg/mL
- Storage
- -20°C
No comments: Submit comment
Supportive validation
- Submitted by
- Invitrogen Antibodies (provider)
- Main image

- Experimental details
- Lane 1: mouse kidney lysates Lane 2: mouse brain lysates probed with Anti-MC-1R/MC1 Receptor Polyclonal Antibody, Unconjugated (bs-1419R) at 1:200 in 4°C. Followed by conjugation to secondary antibody (bs-0295G-HRP) at 1:3000 90 min in 37°C. Predicted band 35 kD. Observed band size: 35 kD.
- Submitted by
- Invitrogen Antibodies (provider)
- Main image

- Experimental details
- Lane 1: mouse kidney lysates Lane 2: mouse brain lysates probed with Anti-MC-1R/MC1 Receptor Polyclonal Antibody, Unconjugated (bs-1419R) at 1:200 in 4°C. Followed by conjugation to secondary antibody (bs-0295G-HRP) at 1:3000 90 min in 37°C. Predicted band 35 kD. Observed band size: 35 kD.
- Submitted by
- Invitrogen Antibodies (provider)
- Main image

- Experimental details
- Lane 1: MOLT-4 Cells; Probed with MC-1R/MC1 Polyclonal Antibody, Unconjugated (bs-1419R) at 1:1000 overnight at 4°C followed by a conjugated secondary antibody for 60 minutes at 37°C.
Supportive validation
- Submitted by
- Invitrogen Antibodies (provider)
- Main image

- Experimental details
- paraformaldehyde-fixed, paraffin embedded human melanoma tissue; Antigen retrieval by boiling in sodium citrate buffer(pH6) for 15min; Block endogenous peroxidase by 3% hydrogen peroxide for 30 minutes; Blocking buffer (normal goat serum) at 37°C for 20min; Antibody incubation with Rabbit Anti-MC-1R Polyclonal Antibody, Unconjugated (bs-1419R) at 1:200 overnight at 4°C, followed by a conjugated secondary and DAB staining.
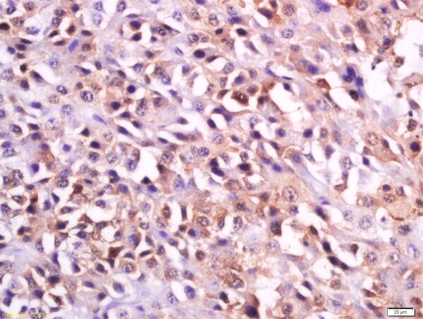
Supportive validation
- Submitted by
- Invitrogen Antibodies (provider)
- Main image

- Experimental details
- Human 293T Cells were fixed with 2% PFA (10min at room temperature) and then permeabilized with 90% ice-cold methanol for 30min on ice. The cells were then incubated in 2% BSA + 10% goat serum to block non-specific protein-protein interactions for 15 min. Cells were stained with MC-1R/MC1 Polyclonal Antibody, Alexa Fluor 488 Conjugated (bs-1419R-A488) at 1:100 for 30 min on ice. Primary Antibody staining (green) is compared to unstained cells (dark blue), and isotype control (orange).