OAAF02597
antibody from Aviva Systems Biology
Targeting: MED12
ARC240, CAGH45, FGS1, HOPA, KIAA0192, Kto, OKS, OPA1, TNRC11, TRAP230
Antibody data
- Antibody Data
- Antigen structure
- References [0]
- Comments [0]
- Validations
- Immunohistochemistry [1]
Submit
Validation data
Reference
Comment
Report error
- Product number
- OAAF02597 - Provider product page

- Provider
- Aviva Systems Biology
- Product name
- MED12 Antibody
- Antibody type
- Polyclonal
- Reactivity
- Human
- Host
- Rabbit
- Vial size
- 100µg
- Storage
- Store at -20°C/1 year
No comments: Submit comment
Supportive validation
- Submitted by
- Aviva Systems Biology (provider)
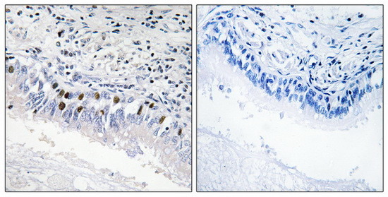
- Main image

- Experimental details
- Immunohistochemistry analysis of paraffin-embedded human lung carcinoma tissue, using MED12 antibody. The picture on the right is treated with the synthesized peptide.