Antibody data
- Antibody Data
- Antigen structure
- References [1]
- Comments [0]
- Validations
- Western blot [1]
- Immunohistochemistry [1]
Submit
Validation data
Reference
Comment
Report error
- Product number
- NB100-2459 - Provider product page

- Provider
- Novus Biologicals
- Proper citation
- Novus Cat#NB100-2459, RRID:AB_2123548
- Product name
- Goat Polyclonal Indoleamine 2,3-dioxygenase/IDO Antibody
- Antibody type
- Polyclonal
- Description
- Immunogen affinity purified.
- Reactivity
- Human
- Host
- Goat
- Isotype
- IgG
- Vial size
- 0.1 mg
- Concentration
- 0.5 mg/ml
- Storage
- Store at -20C. Avoid freeze-thaw cycles.
Submitted references GCN2 kinase in T cells mediates proliferative arrest and anergy induction in response to indoleamine 2,3-dioxygenase.
Munn DH, Sharma MD, Baban B, Harding HP, Zhang Y, Ron D, Mellor AL
Immunity 2005 May;22(5):633-42
Immunity 2005 May;22(5):633-42
No comments: Submit comment
Supportive validation
- Submitted by
- Novus Biologicals (provider)
- Main image

- Experimental details
- Western Blot: Indoleamine 2,3-dioxygenase/IDO Antibody [NB100-2459] - (0.5ug/ml) staining of Human Lymph Node (A), Spleen (B) and Placenta (C) lysates (35ug protein in RIPA buffer). Detected by chemiluminescence.
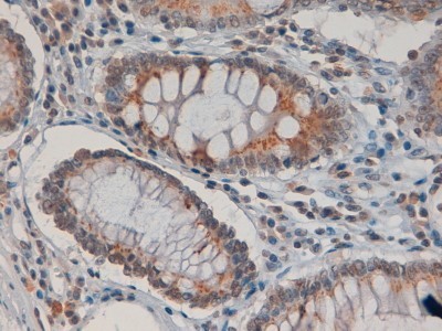
Supportive validation
- Submitted by
- Novus Biologicals (provider)
- Main image

- Experimental details
- Immunohistochemistry-Paraffin: Indoleamine 2,3-dioxygenase/IDO Antibody [NB100-2459] - (4ug/ml) staining of paraffin embedded Human Colon. Steamed antigen retrieval with citrate buffer pH 6, HRP-staining. This data is from a previous batch, not on sale.