Antibody data
- Antibody Data
- Antigen structure
- References [1]
- Comments [0]
- Validations
- Immunohistochemistry [1]
- Flow cytometry [1]
Submit
Validation data
Reference
Comment
Report error
- Product number
- ABIN758861 - Provider product page

- Provider
- antibodies-online
- Proper citation
- Antibodies-Online Cat#ABIN758861, RRID:AB_11210510
- Product name
- anti-ADAM Metallopeptidase Domain 28 (ADAM28) antibody
- Antibody type
- Polyclonal
- Description
- Purified by Protein A.
- Reactivity
- Human, Mouse, Rat
- Host
- Rabbit
- Isotype
- IgG
- Vial size
- 100 μL
- Storage
- Store at -20°C
Submitted references CD19 regulates ADAM28-mediated Notch2 cleavage to control the differentiation of marginal zone precursors to MZ B cells.
Zhang Y, Zhu G, Xiao H, Liu X, Han G, Chen G, Hou C, Shen B, Li Y, Ma N, Wang R
Journal of cellular and molecular medicine 2017 Dec;21(12):3658-3669
Journal of cellular and molecular medicine 2017 Dec;21(12):3658-3669
No comments: Submit comment
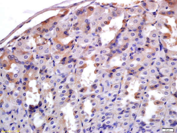
Supportive validation
- Submitted by
- antibodies-online (provider)
- Main image

- Experimental details
- IHC
Supportive validation
- Submitted by
- antibodies-online (provider)
- Main image

- Experimental details
- FACS