Antibody data
- Antibody Data
- Antigen structure
- References [1]
- Comments [0]
- Validations
- Western blot [2]
- Immunohistochemistry [1]
Submit
Validation data
Reference
Comment
Report error
- Product number
- TA312744 - Provider product page

- Provider
- OriGene
- Product name
- Rabbit polyclonal GRB2 (Ab-159) antibody
- Antibody type
- Polyclonal
- Description
- Rabbit polyclonal GRB2 (Ab-159) antibody
- Host
- Rabbit
- Conjugate
- Unconjugated
- Epitope
- GAB2
- Isotype
- IgG
- Antibody clone number
- NULL
- Vial size
- 100 µl
- Concentration
- 1mg/ml
Submitted references Elevated Gab2 induces tumor growth and angiogenesis in colorectal cancer through upregulating VEGF levels.
Ding C, Luo J, Fan X, Li L, Li S, Wen K, Feng J, Wu G
Journal of experimental & clinical cancer research : CR 2017 Apr 18;36(1):56
Journal of experimental & clinical cancer research : CR 2017 Apr 18;36(1):56
No comments: Submit comment
Supportive validation
- Submitted by
- OriGene (provider)
- Main image

- Experimental details
- Western blot analysis of extracts from COS cells, using GRB2 (Ab-159) antibody.The lane on the right is treated with the synthesized peptide.
- Validation comment
- WB
- Submitted by
- OriGene (provider)
- Main image

- Experimental details
- Western blot analysis of extracts from 293 cells (Lane 2), using Gab2 (Ab-159) Antibody. The lane on the left is treated with synthesized peptide.
- Validation comment
- WB
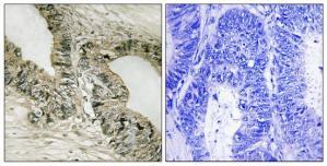
Supportive validation
- Submitted by
- OriGene (provider)
- Main image

- Experimental details
- Immunohistochemistry analysis of paraffin-embedded human colon carcinoma tissue using GRB2 (Ab-159) antibody.The picture on the right is treated with the synthesized peptide.
- Validation comment
- IHC