Antibody data
- Antibody Data
- Antigen structure
- References [1]
- Comments [0]
- Validations
- Immunohistochemistry [6]
Submit
Validation data
Reference
Comment
Report error
- Product number
- NBP1-81500 - Provider product page

- Provider
- Novus Biologicals
- Proper citation
- Novus Cat#NBP1-81500, RRID:AB_11037111
- Product name
- Rabbit Polyclonal GAB2 Antibody
- Antibody type
- Polyclonal
- Description
- Immunogen affinity purified. Specificity of human GAB2 antibody verified on a Protein Array containing target protein plus 383 other non-specific proteins.
- Reactivity
- Human
- Host
- Rabbit
- Isotype
- IgG
- Vial size
- 0.1 ml
- Storage
- Store at 4C short term. Aliquot and store at -20C long term. Avoid freeze-thaw cycles.
Submitted references From gene expression analysis to tissue microarrays: a rational approach to identify therapeutic and diagnostic targets in lymphoid malignancies.
Ek S, Andréasson U, Hober S, Kampf C, Pontén F, Uhlén M, Merz H, Borrebaeck CA
Molecular & cellular proteomics : MCP 2006 Jun;5(6):1072-81
Molecular & cellular proteomics : MCP 2006 Jun;5(6):1072-81
No comments: Submit comment
Supportive validation
- Submitted by
- Novus Biologicals (provider)
- Main image

- Experimental details
- Immunohistochemistry-Paraffin: GAB2 Antibody [NBP1-81500] - Analysis in human bone marrow and skeletal muscle tissues. Corresponding GAB2 RNA-seq data are presented for the same tissues.
- Submitted by
- Novus Biologicals (provider)
- Main image

- Experimental details
- Immunohistochemistry-Paraffin: GAB2 Antibody [NBP1-81500] - Staining of human testis shows strong cytoplasmic and membranous positivity in cells in seminiferous ducts.
- Submitted by
- Novus Biologicals (provider)
- Main image

- Experimental details
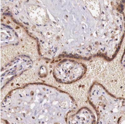
- Immunohistochemistry-Paraffin: GAB2 Antibody [NBP1-81500] - Staining of human placenta shows moderate cytoplasmic positivity in trophoblastic cells.
- Submitted by
- Novus Biologicals (provider)
- Main image

- Experimental details
- Immunohistochemistry-Paraffin: GAB2 Antibody [NBP1-81500] - Staining of human endometrium shows weak cytoplasmic positivity in glandular cells.
- Submitted by
- Novus Biologicals (provider)
- Main image

- Experimental details
- Immunohistochemistry-Paraffin: GAB2 Antibody [NBP1-81500] - Staining of human skeletal muscle shows no cytoplasmic positivity in myocytes as expected.
- Submitted by
- Novus Biologicals (provider)
- Main image

- Experimental details
- Immunohistochemistry-Paraffin: GAB2 Antibody [NBP1-81500] - Staining of human bone marrow shows moderate cytoplasmic positivity in hematopoietic cells.