NB100-897
antibody from Novus Biologicals
Targeting: APEX1
APE, APE-1, APEN, APEX, APX, HAP1, REF-1, REF1
Antibody data
- Antibody Data
- Antigen structure
- References [6]
- Comments [0]
- Validations
- Western blot [2]
- Immunohistochemistry [2]
Submit
Validation data
Reference
Comment
Report error
- Product number
- NB100-897 - Provider product page

- Provider
- Novus Biologicals
- Proper citation
- Novus Cat#NB100-897, RRID:AB_10003374
- Product name
- Goat Polyclonal APE Antibody
- Antibody type
- Polyclonal
- Description
- Immunogen affinity purified. Reported variants represent identical protein (NP_001632.2
- Reactivity
- Human
- Host
- Goat
- Isotype
- IgG
- Vial size
- 0.1 mg
- Concentration
- 0.5 mg/ml
- Storage
- Store at -20C. Avoid freeze-thaw cycles.
Submitted references Serum AP-endonuclease 1 (sAPE1) as novel biomarker for hepatocellular carcinoma.
Monoclonal antibodies against pools of mono- and polyacetylated peptides selectively recognize acetylated lysines within the context of the original antigen.
Regulation of limited N-terminal proteolysis of APE1 in tumor via acetylation and its role in cell proliferation.
Mutagenesis is elevated in male germ cells obtained from DNA polymerase-beta heterozygous mice.
Cloning and expression of APE, the cDNA encoding the major human apurinic endonuclease: definition of a family of DNA repair enzymes.
Cloning and expression of APE, the cDNA encoding the major human apurinic endonuclease: definition of a family of DNA repair enzymes.
Pascut D, Sukowati CHC, Antoniali G, Mangiapane G, Burra S, Mascaretti LG, Buonocore MR, Crocè LS, Tiribelli C, Tell G
Oncotarget 2019 Jan 8;10(3):383-394
Oncotarget 2019 Jan 8;10(3):383-394
Monoclonal antibodies against pools of mono- and polyacetylated peptides selectively recognize acetylated lysines within the context of the original antigen.
Sandomenico A, Focà A, Sanguigno L, Caporale A, Focà G, Pignalosa A, Corvino G, Caragnano A, Beltrami AP, Antoniali G, Tell G, Leonardi A, Ruvo M
mAbs 2016 Nov Dec;8(8):1575-1589
mAbs 2016 Nov Dec;8(8):1575-1589
Regulation of limited N-terminal proteolysis of APE1 in tumor via acetylation and its role in cell proliferation.
Bhakat KK, Sengupta S, Adeniyi VF, Roychoudhury S, Nath S, Bellot LJ, Feng D, Mantha AK, Sinha M, Qiu S, Luxon BA
Oncotarget 2016 Apr 19;7(16):22590-604
Oncotarget 2016 Apr 19;7(16):22590-604
Mutagenesis is elevated in male germ cells obtained from DNA polymerase-beta heterozygous mice.
Allen D, Herbert DC, McMahan CA, Rotrekl V, Sobol RW, Wilson SH, Walter CA
Biology of reproduction 2008 Nov;79(5):824-31
Biology of reproduction 2008 Nov;79(5):824-31
Cloning and expression of APE, the cDNA encoding the major human apurinic endonuclease: definition of a family of DNA repair enzymes.
Demple B, Herman T, Chen DS
Proceedings of the National Academy of Sciences of the United States of America 1991 Dec 15;88(24):11450-4
Proceedings of the National Academy of Sciences of the United States of America 1991 Dec 15;88(24):11450-4
Cloning and expression of APE, the cDNA encoding the major human apurinic endonuclease: definition of a family of DNA repair enzymes.
Demple B, Herman T, Chen DS
Proceedings of the National Academy of Sciences of the United States of America 1991 Dec 15;88(24):11450-4
Proceedings of the National Academy of Sciences of the United States of America 1991 Dec 15;88(24):11450-4
No comments: Submit comment
Supportive validation
- Submitted by
- Novus Biologicals (provider)
- Main image

- Experimental details
- Western Blot: APE Antibody [NB100-897] - Staining of A431 lysate (35ug protein in RIPA buffer). Primary incubation was 1 hour. Detected by chemiluminescence. (0.1ug/ml)
- Submitted by
- Novus Biologicals (provider)
- Main image

- Experimental details
- Western Blot: APE Antibody [NB100-897] - Staining of A431 (A), HeLa (B) and MCF7 (C) nuclear lysates (35ug protein in RIPA buffer). Primary incubation was 1 hour. Detected by chemiluminescence.
Supportive validation
- Submitted by
- Novus Biologicals (provider)
- Main image

- Experimental details
- Immunohistochemistry-Paraffin: APE Antibody [NB100-897] - Staining of Human Breast. Steamed antigen retrieval with Tris/EDTA buffer pH 9, HRP-staining. (4ug/ml)
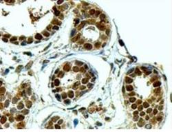
- Submitted by
- Novus Biologicals (provider)
- Main image

- Experimental details
- Immunohistochemistry-Paraffin: APE Antibody [NB100-897] - Staining of paraffin embedded Human Breast. Steamed antigen retrieval with Tris/EDTA buffer pH 9, HRP-staining.