Antibody data
- Antibody Data
- Antigen structure
- References [1]
- Comments [0]
- Validations
- Immunohistochemistry [4]
Submit
Validation data
Reference
Comment
Report error
- Product number
- PA5-61574 - Provider product page

- Provider
- Invitrogen Antibodies
- Product name
- PET117 Polyclonal Antibody
- Antibody type
- Polyclonal
- Antigen
- Recombinant protein fragment
- Description
- Immunogen sequence: GVHVKQQWDQ QRLRDGVIRD IERQIRKKEN IRLLGEQIIL TEQLEAEREK MLL Highest antigen sequence identity to the following orthologs: Mouse - 85%, Rat - 35%.
- Reactivity
- Human
- Host
- Rabbit
- Isotype
- IgG
- Vial size
- 100 μL
- Concentration
- 0.2 mg/mL
- Storage
- Store at 4°C short term. For long term storage, store at -20°C, avoiding freeze/thaw cycles.
Submitted references Spatiotemporally-resolved mapping of RNA binding proteins via functional proximity labeling reveals a mitochondrial mRNA anchor promoting stress recovery.
Qin W, Myers SA, Carey DK, Carr SA, Ting AY
Nature communications 2021 Aug 17;12(1):4980
Nature communications 2021 Aug 17;12(1):4980
No comments: Submit comment
Supportive validation
- Submitted by
- Invitrogen Antibodies (provider)
- Main image

- Experimental details
- Immunohistochemical analysis of PET117 in human cerebral cortex using PET117 Polyclonal Antibody (Product # PA5-61574) shows weak granular cytoplasmic positivity in neurons.
- Submitted by
- Invitrogen Antibodies (provider)
- Main image

- Experimental details
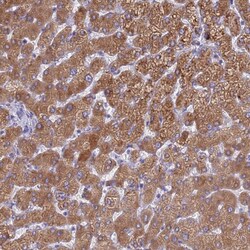
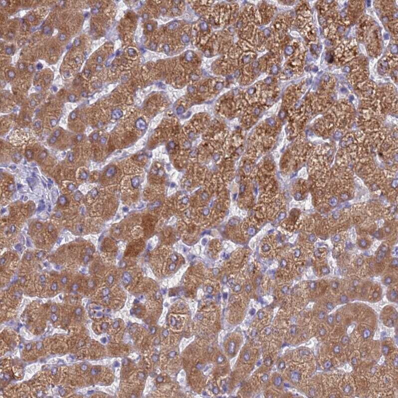
- Immunohistochemical analysis of PET117 in human liver using PET117 Polyclonal Antibody (Product # PA5-61574) shows strong granular cytoplasmic positivity in hepatocytes.
- Submitted by
- Invitrogen Antibodies (provider)
- Main image

- Experimental details
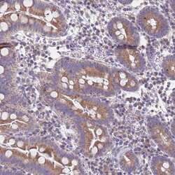
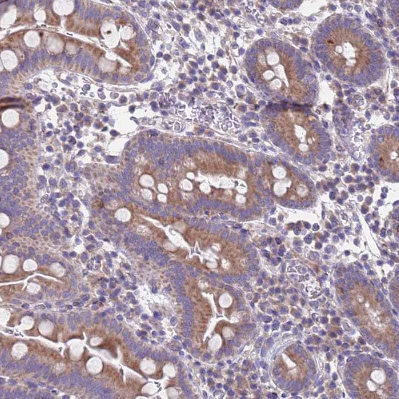
- Immunohistochemical analysis of PET117 in human small intestine using PET117 Polyclonal Antibody (Product # PA5-61574) shows moderate granular cytoplasmic positivity in glandular cells.
- Submitted by
- Invitrogen Antibodies (provider)
- Main image

- Experimental details
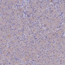
- Immunohistochemical analysis of PET117 in human pancreas using PET117 Polyclonal Antibody (Product # PA5-61574) shows very weak cytoplasmic positivity in exocrine glandular cells.