Antibody data
- Antibody Data
- Antigen structure
- References [1]
- Comments [0]
- Validations
- Western blot [2]
- ELISA [1]
- Immunohistochemistry [1]
- Flow cytometry [1]
Submit
Validation data
Reference
Comment
Report error
- Product number
- NBP2-52575 - Provider product page 
- Provider
- Novus Biologicals
- Product name
- Mouse Monoclonal Transthyretin/Prealbumin Antibody
- Antibody type
- Monoclonal
- Description
- Protein A or G purified.
- Reactivity
- Human
- Host
- Mouse
- Isotype
- IgG
- Vial size
- 0.1 mg
- Concentration
- 1 mg/ml
- Storage
- Store at 4C short term. Aliquot and store at -20C long term. Avoid freeze-thaw cycles.
Submitted references		CellSIUS provides sensitive and specific detection of rare cell populations from complex single-cell RNA-seq data.
				
		
	
			Wegmann R, Neri M, Schuierer S, Bilican B, Hartkopf H, Nigsch F, Mapa F, Waldt A, Cuttat R, Salick MR, Raymond J, Kaykas A, Roma G, Keller CG
Genome biology 2019 Jul 17;20(1):142
		Genome biology 2019 Jul 17;20(1):142
				No comments: Submit comment	
	
			
							
					Supportive validation
					
									
				
				- Submitted by
- Novus Biologicals (provider)
- Main image
 
- Experimental details
- Western Blot: Transthyretin/Prealbumin Antibody (2E10C5) [NBP2-52575] - Analysis using TTR mAb against HEK293 (1) and TTR (AA: 1-147)-hIgGFc transfected HEK293 (2) cell lysate.
- Submitted by
- Novus Biologicals (provider)
- Main image
 
- Experimental details
- Western Blot: Transthyretin/Prealbumin Antibody (2E10C5) [NBP2-52575] - Analysis using TTR mAb against human TTR (AA: 1-147) recombinant protein. (Expected MW is 45.8 kDa)
							
					Supportive validation
					
									
				
				- Submitted by
- Novus Biologicals (provider)
- Main image
 
- Experimental details
- ELISA: Transthyretin/Prealbumin Antibody (2E10C5) [NBP2-52575] - :Black line: Control Antigen (100 ng); Purple line: Antigen(10ng); Blue line: Antigen (50 ng); Red line: Antigen (100 ng);
							
					Supportive validation
					
									
				
				- Submitted by
- Novus Biologicals (provider)
- Main image
 
- Experimental details
- Immunohistochemistry-Paraffin: Transthyretin/Prealbumin Antibody (2E10C5) [NBP2-52575] - Analysis of liver cancer tissues using TTR mouse mAb with DAB staining.
							
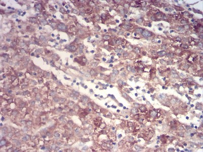
					Supportive validation
					
									
				
		- Submitted by
- Novus Biologicals (provider)
- Main image
 
- Experimental details
- Flow Cytometry: Transthyretin/Prealbumin Antibody (2E10C5) [NBP2-52575] - Analysis of A549 cells using TTR mouse mAb (green) and negative control (red).