Antibody data
- Antibody Data
- Antigen structure
- References [0]
- Comments [0]
- Validations
- Western blot [1]
- Immunocytochemistry [1]
- Immunohistochemistry [2]
- Flow cytometry [1]
Submit
Validation data
Reference
Comment
Report error
- Product number
- TA503041 - Provider product page

- Provider
- OriGene
- Proper citation
- OriGene Cat#TA503041, RRID:AB_11126159
- Product name
- STAT4 mouse monoclonal antibody, clone OTI2F3 (formerly 2F3)
- Antibody type
- Monoclonal
- Description
- STAT4 mouse monoclonal antibody, clone OTI2F3 (formerly 2F3)
- Host
- Mouse
- Conjugate
- Unconjugated
- Epitope
- STAT4
- Isotype
- IgG
- Antibody clone number
- OTI2F3
- Vial size
- 100 µl
- Concentration
- 1.00mg/ml
No comments: Submit comment
Supportive validation
- Submitted by
- OriGene (provider)
- Main image

- Experimental details
- HEK293T cells were transfected with the pCMV6-ENTRY control (Left lane) or pCMV6-ENTRY STAT4 (RC206892, Right lane) cDNA for 48 hrs and lysed. Equivalent amounts of cell lysates (5 ug per lane) were separated by SDS-PAGE and immunoblotted with anti-STAT4.
- Validation comment
- WB
Supportive validation
- Submitted by
- OriGene (provider)
- Main image

- Experimental details
- Anti-STAT4 mouse monoclonal antibody (TA503041) immunofluorescent staining of COS7 cells transiently transfected by pCMV6-ENTRY STAT4(RC206892).
- Validation comment
- IF
Supportive validation
- Submitted by
- OriGene (provider)
- Main image

- Experimental details
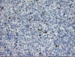
- Immunohistochemical staining of paraffin-embedded Human lymphoma tissue using anti-STAT4 mouse monoclonal antibody. (Heat-induced epitope retrieval by 10mM citric buffer, pH6.0, 100C for 10min, TA503041)
- Validation comment
- IHC
- Submitted by
- OriGene (provider)
- Main image

- Experimental details
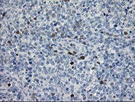
- Immunohistochemical staining of paraffin-embedded Human tonsil within the normal limits using anti-STAT4 mouse monoclonal antibody. (Heat-induced epitope retrieval by 10mM citric buffer, pH6.0, 100C for 10min, TA503041)
- Validation comment
- IHC
Supportive validation
- Submitted by
- OriGene (provider)
- Main image

- Experimental details
- HEK293T cells transfected with either RC206892 overexpress plasmid(Red) or empty vector control plasmid(Blue) were immunostained by anti-STAT4 antibody(TA503041), and then analyzed by flow cytometry.
- Validation comment
- FC