Antibody data
- Antibody Data
- Antigen structure
- References [0]
- Comments [0]
- Validations
- Western blot [3]
- Immunocytochemistry [1]
- Immunohistochemistry [7]
- Flow cytometry [2]
Submit
Validation data
Reference
Comment
Report error
- Product number
- R31517 - Provider product page

- Provider
- NSJ Bioreagents
- Product name
- Amyloid beta Antibody / APP
- Antibody type
- Polyclonal
- Description
- This highly specific Amyloid beta antibody is suitable for use in Western blot/Immunohistochemistry/Immunofluorescence/Immunocytochemistry applications with human, mouse and rat samples.
- Reactivity
- Human, Mouse, Rat
- Host
- Rabbit
- Conjugate
- Unconjugated
- Vial size
- 100 ug
- Concentration
- 0.5mg/ml if reconstituted with 0.2ml sterile DI water
- Storage
- After reconstitution, the Amyloid beta antibody can be stored for up to one month at 4oC. For long-term, aliquot and store at -20oC. Avoid repeated freezing and thawing.
No comments: Submit comment
Supportive validation
- Submitted by
- NSJ Bioreagents (provider)
- Main image

- Experimental details
- Western blot testing of Amyloid beta antibody and Lane 1: rat brain; 2: mouse brain lysate. Expected/observed size: 87~120 depending on glycosylation level
- Submitted by
- NSJ Bioreagents (provider)
- Main image

- Experimental details
- Western blot testing of Amyloid beta antibody and recombinant human protein (0.5ng)
- Submitted by
- NSJ Bioreagents (provider)
- Main image

- Experimental details
- Western blot testing of human 1) HeLa, 2) U-87 MG, 3) T-47D, 4) A549, 5) U-2 OS, 6) rat brain and 7) mouse brain lysate with Amyloid beta antibody. Predicted molecular weight 79~120 kDa depending on glycosylation level.
Supportive validation
- Submitted by
- NSJ Bioreagents (provider)
- Main image

- Experimental details
- IF/ICC staining of FFPE human A431 cells with Amyloid beta antibody (green) at 2ug/ml and DAPI nuclear stain (blue). HIER: boil tissue sections in pH6, 10mM citrate buffer, for 10-20 min and allow to cool before testing.
Supportive validation
- Submitted by
- NSJ Bioreagents (provider)
- Main image

- Experimental details
- IHC-P: Amyloid beta antibody testing of mouse brain tissue. HIER: steamed with pH6 citrate buffer.
- Submitted by
- NSJ Bioreagents (provider)
- Main image

- Experimental details
- IHC-P testing of rat brain tissue. HIER: steamed with pH6 citrate buffer.
- Submitted by
- NSJ Bioreagents (provider)
- Main image

- Experimental details
- IHC staining of FFPE human glioma tissue with Amyloid beta antibody at 1ug/ml. HIER: boil tissue sections in pH6, 10mM citrate buffer, for 10-20 min and allow to cool before testing.
- Submitted by
- NSJ Bioreagents (provider)
- Main image

- Experimental details
- IHC staining of FFPE mouse brain with Amyloid beta antibody at 1ug/ml. HIER: boil tissue sections in pH6, 10mM citrate buffer, for 10-20 min and allow to cool before testing.
- Submitted by
- NSJ Bioreagents (provider)
- Main image

- Experimental details
- IHC staining of FFPE rat brain with Amyloid beta antibody at 1ug/ml. HIER: boil tissue sections in pH6, 10mM citrate buffer, for 10-20 min and allow to cool before testing.
- Submitted by
- NSJ Bioreagents (provider)
- Main image

- Experimental details
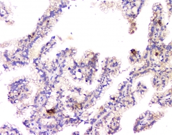
- IHC staining of FFPE human renal cancer with Amyloid beta antibody at 1ug/ml. HIER: boil tissue sections in pH6, 10mM citrate buffer, for 10-20 min and allow to cool before testing.
- Submitted by
- NSJ Bioreagents (provider)
- Main image

- Experimental details
- IHC staining of FFPE human tonsil with Amyloid beta antibody at 1ug/ml. HIER: boil tissue sections in pH6, 10mM citrate buffer, for 10-20 min and allow to cool before testing.
Supportive validation
- Submitted by
- NSJ Bioreagents (provider)
- Main image

- Experimental details
- Flow cytometry testing of human PC-3 cells with Amyloid beta antibody at 1ug/10^6 cells (blocked with goat sera); Red=cells alone, Green=isotype control, Blue=Amyloid beta antibody.
- Submitted by
- NSJ Bioreagents (provider)
- Main image

- Experimental details
- Flow cytometry testing of human SiHa cells with Amyloid beta antibody at 1ug/10^6 cells (blocked with goat sera); Red=cells alone, Green=isotype control, Blue=Amyloid beta antibody.