Antibody data
- Antibody Data
- Antigen structure
- References [24]
- Comments [0]
- Validations
- Western blot [2]
- Immunohistochemistry [4]
Submit
Validation data
Reference
Comment
Report error
- Product number
- NBP2-13075 - Provider product page

- Provider
- Novus Biologicals
- Product name
- Mouse Monoclonal beta Amyloid Antibody
- Antibody type
- Monoclonal
- Description
- Protein G purified. Beta Amyloid antibody (MOAB-2) recognizes unaggregated, oligomeric and fibrillar forms of beta Amyloid 42 and unaggregated beta Amyloid 40. Does not detect APP.
- Reactivity
- Human, Mouse, Rat, Simian
- Host
- Mouse
- Antigen sequence
Residues 1-4 of beta Amyloid- Isotype
- IgG
- Vial size
- 0.1 ml
- Concentration
- 1.0 mg/ml
- Storage
- Store at 4C short term. Aliquot and store at -20C long term. Avoid freeze-thaw cycles.
Submitted references Sodium tanshinone IIA sulfonate protects against Aβ1-42-induced cellular toxicity by modulating Aβ-degrading enzymes in HT22 cells.
Virulent Pseudomonas aeruginosa infection converts antimicrobial amyloids into cytotoxic prions.
Neuroprotective Effects of Apocynin and Galantamine During the Chronic Administration of Scopolamine in an Alzheimer's Disease Model.
Tanshinone IIA ameliorates cognitive deficits by inhibiting endoplasmic reticulum stress-induced apoptosis in APP/PS1 transgenic mice.
Erythrocytic α-Synuclein as a potential biomarker for Parkinson's disease.
Infection-induced endothelial amyloids impair memory.
Neutralization of IL-17 rescues amyloid-β-induced neuroinflammation and memory impairment.
Impact of TREM2 risk variants on brain region-specific immune activation and plaque microenvironment in Alzheimer's disease patient brain samples.
Age Moderates the Effects of Traumatic Brain Injury on Beta-Amyloid Plaque Load in APP/PS1 Mice.
Heterochromatic genome instability and neurodegeneration sharing similarities with Alzheimer's disease in old Bmi1+/- mice.
Ubisol-Q10 (a Nanomicellar Water-Soluble Formulation of CoQ10) Treatment Inhibits Alzheimer-Type Behavioral and Pathological Symptoms in a Double Transgenic Mouse (TgAPEswe, PSEN1dE9) Model of Alzheimer's Disease.
Effect of growth differentiation factor-15 secreted by human umbilical cord blood-derived mesenchymal stem cells on amyloid beta levels in in vitro and in vivo models of Alzheimer's disease.
The aged rhesus macaque manifests Braak stage III/IV Alzheimer's-like pathology.
Thrombospondin-1 secreted by human umbilical cord blood-derived mesenchymal stem cells rescues neurons from synaptic dysfunction in Alzheimer's disease model.
Repeat propofol anesthesia does not exacerbate plaque deposition or synapse loss in APP/PS1 Alzheimer's disease mice.
KRICT-9 inhibits neuroinflammation, amyloidogenesis and memory loss in Alzheimer's disease models.
Environmental novelty exacerbates stress hormones and Aβ pathology in an Alzheimer's model.
Mid-life environmental enrichment increases synaptic density in CA1 in a mouse model of Aβ-associated pathology and positively influences synaptic and cognitive health in healthy ageing.
Pseudomonas aeruginosa infection liberates transmissible, cytotoxic prion amyloids.
Glucose-Dependent Insulinotropic Polypeptide Ameliorates Mild Traumatic Brain Injury-Induced Cognitive and Sensorimotor Deficits and Neuroinflammation in Rats.
The effect of focal brain injury on beta-amyloid plaque deposition, inflammation and synapses in the APP/PS1 mouse model of Alzheimer's disease.
Inhibitory effect of a 2,4-bis(4-hydroxyphenyl)-2-butenal diacetate on neuro-inflammatory reactions via inhibition of STAT1 and STAT3 activation in cultured astrocytes and microglial BV-2 cells.
Intraneuronal Aβ detection in 5xFAD mice by a new Aβ-specific antibody.
APOE4-specific changes in Aβ accumulation in a new transgenic mouse model of Alzheimer disease.
Liu XQ, Deng YX, Dai Z, Hu T, Cai WW, Liu HF, Li H, Zhu WL, Li BY, Wang Q, Zhang SJ
International journal of biological macromolecules 2020 May 15;151:47-55
International journal of biological macromolecules 2020 May 15;151:47-55
Virulent Pseudomonas aeruginosa infection converts antimicrobial amyloids into cytotoxic prions.
Voth S, Gwin M, Francis CM, Balczon R, Frank DW, Pittet JF, Wagener BM, Moser SA, Alexeyev M, Housley N, Audia JP, Piechocki S, Madera K, Simmons A, Crawford M, Stevens T
FASEB journal : official publication of the Federation of American Societies for Experimental Biology 2020 Jul;34(7):9156-9179
FASEB journal : official publication of the Federation of American Societies for Experimental Biology 2020 Jul;34(7):9156-9179
Neuroprotective Effects of Apocynin and Galantamine During the Chronic Administration of Scopolamine in an Alzheimer's Disease Model.
Joseph E, Villalobos-Acosta DMÁ, Torres-Ramos MA, Farfán-García ED, Gómez-López M, Miliar-García Á, Fragoso-Vázquez MJ, García-Marín ID, Correa-Basurto J, Rosales-Hernández MC
Journal of molecular neuroscience : MN 2020 Feb;70(2):180-193
Journal of molecular neuroscience : MN 2020 Feb;70(2):180-193
Tanshinone IIA ameliorates cognitive deficits by inhibiting endoplasmic reticulum stress-induced apoptosis in APP/PS1 transgenic mice.
He Y, Ruganzu JB, Lin C, Ding B, Zheng Q, Wu X, Ma R, Liu Q, Wang Y, Jin H, Qian Y, Peng X, Ji S, Zhang L, Yang W, Lei X
Neurochemistry international 2020 Feb;133:104610
Neurochemistry international 2020 Feb;133:104610
Erythrocytic α-Synuclein as a potential biomarker for Parkinson's disease.
Tian C, Liu G, Gao L, Soltys D, Pan C, Stewart T, Shi M, Xie Z, Liu N, Feng T, Zhang J
Translational neurodegeneration 2019;8:15
Translational neurodegeneration 2019;8:15
Infection-induced endothelial amyloids impair memory.
Balczon R, Pittet JF, Wagener BM, Moser SA, Voth S, Vorhees CV, Williams MT, Bridges JP, Alvarez DF, Koloteva A, Xu Y, Zha XM, Audia JP, Stevens T, Lin MT
FASEB journal : official publication of the Federation of American Societies for Experimental Biology 2019 Sep;33(9):10300-10314
FASEB journal : official publication of the Federation of American Societies for Experimental Biology 2019 Sep;33(9):10300-10314
Neutralization of IL-17 rescues amyloid-β-induced neuroinflammation and memory impairment.
Cristiano C, Volpicelli F, Lippiello P, Buono B, Raucci F, Piccolo M, Iqbal AJ, Irace C, Miniaci MC, Perrone Capano C, Calignano A, Mascolo N, Maione F
British journal of pharmacology 2019 Sep;176(18):3544-3557
British journal of pharmacology 2019 Sep;176(18):3544-3557
Impact of TREM2 risk variants on brain region-specific immune activation and plaque microenvironment in Alzheimer's disease patient brain samples.
Prokop S, Miller KR, Labra SR, Pitkin RM, Hoxha K, Narasimhan S, Changolkar L, Rosenbloom A, Lee VM, Trojanowski JQ
Acta neuropathologica 2019 Oct;138(4):613-630
Acta neuropathologica 2019 Oct;138(4):613-630
Age Moderates the Effects of Traumatic Brain Injury on Beta-Amyloid Plaque Load in APP/PS1 Mice.
Collins JM, King AE, Woodhouse A, Kirkcaldie MTK, Vickers JC
Journal of neurotrauma 2019 Jun;36(11):1876-1889
Journal of neurotrauma 2019 Jun;36(11):1876-1889
Heterochromatic genome instability and neurodegeneration sharing similarities with Alzheimer's disease in old Bmi1+/- mice.
El Hajjar J, Chatoo W, Hanna R, Nkanza P, Tétreault N, Tse YC, Wong TP, Abdouh M, Bernier G
Scientific reports 2019 Jan 24;9(1):594
Scientific reports 2019 Jan 24;9(1):594
Ubisol-Q10 (a Nanomicellar Water-Soluble Formulation of CoQ10) Treatment Inhibits Alzheimer-Type Behavioral and Pathological Symptoms in a Double Transgenic Mouse (TgAPEswe, PSEN1dE9) Model of Alzheimer's Disease.
Muthukumaran K, Kanwar A, Vegh C, Marginean A, Elliott A, Guilbeault N, Badour A, Sikorska M, Cohen J, Pandey S
Journal of Alzheimer's disease : JAD 2018;61(1):221-236
Journal of Alzheimer's disease : JAD 2018;61(1):221-236
Effect of growth differentiation factor-15 secreted by human umbilical cord blood-derived mesenchymal stem cells on amyloid beta levels in in vitro and in vivo models of Alzheimer's disease.
Kim DH, Lee D, Lim H, Choi SJ, Oh W, Yang YS, Chang JH, Jeon HB
Biochemical and biophysical research communications 2018 Oct 12;504(4):933-940
Biochemical and biophysical research communications 2018 Oct 12;504(4):933-940
The aged rhesus macaque manifests Braak stage III/IV Alzheimer's-like pathology.
Paspalas CD, Carlyle BC, Leslie S, Preuss TM, Crimins JL, Huttner AJ, van Dyck CH, Rosene DL, Nairn AC, Arnsten AFT
Alzheimer's & dementia : the journal of the Alzheimer's Association 2018 May;14(5):680-691
Alzheimer's & dementia : the journal of the Alzheimer's Association 2018 May;14(5):680-691
Thrombospondin-1 secreted by human umbilical cord blood-derived mesenchymal stem cells rescues neurons from synaptic dysfunction in Alzheimer's disease model.
Kim DH, Lim H, Lee D, Choi SJ, Oh W, Yang YS, Oh JS, Hwang HH, Jeon HB
Scientific reports 2018 Jan 10;8(1):354
Scientific reports 2018 Jan 10;8(1):354
Repeat propofol anesthesia does not exacerbate plaque deposition or synapse loss in APP/PS1 Alzheimer's disease mice.
Woodhouse A, Fernandez-Martos CM, Atkinson RAK, Hanson KA, Collins JM, O'Mara AR, Terblanche N, Skinner MW, Vickers JC, King AE
BMC anesthesiology 2018 Apr 25;18(1):47
BMC anesthesiology 2018 Apr 25;18(1):47
KRICT-9 inhibits neuroinflammation, amyloidogenesis and memory loss in Alzheimer's disease models.
Lee DY, Hwang CJ, Choi JY, Park MH, Song MJ, Oh KW, Han SB, Park WK, Cho HY, Cho SY, Park HB, Song MJ, Hong JT
Oncotarget 2017 Sep 15;8(40):68654-68667
Oncotarget 2017 Sep 15;8(40):68654-68667
Environmental novelty exacerbates stress hormones and Aβ pathology in an Alzheimer's model.
Stuart KE, King AE, Fernandez-Martos CM, Summers MJ, Vickers JC
Scientific reports 2017 Jun 5;7(1):2764
Scientific reports 2017 Jun 5;7(1):2764
Mid-life environmental enrichment increases synaptic density in CA1 in a mouse model of Aβ-associated pathology and positively influences synaptic and cognitive health in healthy ageing.
Stuart KE, King AE, Fernandez-Martos CM, Dittmann J, Summers MJ, Vickers JC
The Journal of comparative neurology 2017 Jun 1;525(8):1797-1810
The Journal of comparative neurology 2017 Jun 1;525(8):1797-1810
Pseudomonas aeruginosa infection liberates transmissible, cytotoxic prion amyloids.
Balczon R, Morrow KA, Zhou C, Edmonds B, Alexeyev M, Pittet JF, Wagener BM, Moser SA, Leavesley S, Zha X, Frank DW, Stevens T
FASEB journal : official publication of the Federation of American Societies for Experimental Biology 2017 Jul;31(7):2785-2796
FASEB journal : official publication of the Federation of American Societies for Experimental Biology 2017 Jul;31(7):2785-2796
Glucose-Dependent Insulinotropic Polypeptide Ameliorates Mild Traumatic Brain Injury-Induced Cognitive and Sensorimotor Deficits and Neuroinflammation in Rats.
Yu YW, Hsieh TH, Chen KY, Wu JC, Hoffer BJ, Greig NH, Li Y, Lai JH, Chang CF, Lin JW, Chen YH, Yang LY, Chiang YH
Journal of neurotrauma 2016 Nov 15;33(22):2044-2054
Journal of neurotrauma 2016 Nov 15;33(22):2044-2054
The effect of focal brain injury on beta-amyloid plaque deposition, inflammation and synapses in the APP/PS1 mouse model of Alzheimer's disease.
Collins JM, King AE, Woodhouse A, Kirkcaldie MT, Vickers JC
Experimental neurology 2015 May;267:219-29
Experimental neurology 2015 May;267:219-29
Inhibitory effect of a 2,4-bis(4-hydroxyphenyl)-2-butenal diacetate on neuro-inflammatory reactions via inhibition of STAT1 and STAT3 activation in cultured astrocytes and microglial BV-2 cells.
Kim JA, Yun HM, Jin P, Lee HP, Han JY, Udumula V, Moon DC, Han SB, Oh KW, Ham YW, Jung HS, Song HS, Hong JT
Neuropharmacology 2014 Apr;79:476-87
Neuropharmacology 2014 Apr;79:476-87
Intraneuronal Aβ detection in 5xFAD mice by a new Aβ-specific antibody.
Youmans KL, Tai LM, Kanekiyo T, Stine WB Jr, Michon SC, Nwabuisi-Heath E, Manelli AM, Fu Y, Riordan S, Eimer WA, Binder L, Bu G, Yu C, Hartley DM, LaDu MJ
Molecular neurodegeneration 2012 Mar 16;7:8
Molecular neurodegeneration 2012 Mar 16;7:8
APOE4-specific changes in Aβ accumulation in a new transgenic mouse model of Alzheimer disease.
Youmans KL, Tai LM, Nwabuisi-Heath E, Jungbauer L, Kanekiyo T, Gan M, Kim J, Eimer WA, Estus S, Rebeck GW, Weeber EJ, Bu G, Yu C, Ladu MJ
The Journal of biological chemistry 2012 Dec 7;287(50):41774-86
The Journal of biological chemistry 2012 Dec 7;287(50):41774-86
No comments: Submit comment
Supportive validation
- Submitted by
- Novus Biologicals (provider)
- Main image

- Experimental details
- Western Blot: beta Amyloid Antibody (MOAB-2) [NBP2-13075] - Analysis of beta Amyloid (MOAB-2) antibody in (1) 100 pmole beta Amyloid 42, (2) 5xFAD mouse brain homogenate Repetition 1 and (3) 5xFAD mouse brain homogenate Repetition 2.
- Submitted by
- Novus Biologicals (provider)
- Main image

- Experimental details
- Western Blot: beta Amyloid Antibody (MOAB-2) [NBP2-13075] - Western blot analysis in cell lysates from HEK-APP SWE/BACE1 cells probed with an antibody against the C-terminus of APP (Lanes 1 and 2) and beta Amyloid (MOAB-2, Lanes 3 and 4). Beta Amyloid (MOAB-2) does not detect APP (from PMID: 22423893).
Supportive validation
- Submitted by
- Novus Biologicals (provider)
- Main image

- Experimental details
- Immunohistochemistry: beta Amyloid Antibody (MOAB-2) [NBP2-13075] - IHC analysis of beta Amyloid on normal mouse brain (left) and 5xFAD mouse brain (right) using DAB with hematoxylin counterstain. The MOAB-2 antibody was used at 1:20 on normal mouse brain and at 1:400 on 5xFAD mouse brain.
- Submitted by
- Novus Biologicals (provider)
- Main image

- Experimental details
- Immunohistochemistry-Paraffin: beta Amyloid Antibody (MOAB-2) [NBP2-13075] - IHC analysis of a formalin fixed paraffin embedded tissue section of human brain (Alzheimers disease, hippocampus) using 1:40 dilution of anti-beta Amyloid antibody (clone MOAB-2). The staining was developed with HRP labeled anti-mouse secondary antibody and DAB reagent, and nuclei of cells were counter-stained with hematoxylin. This beta Amyloid antibody specifically stained the cells with Abeta 42/ Abeta aggregates while the normal cells were negative for abeta peptide.
- Submitted by
- Novus Biologicals (provider)
- Main image

- Experimental details
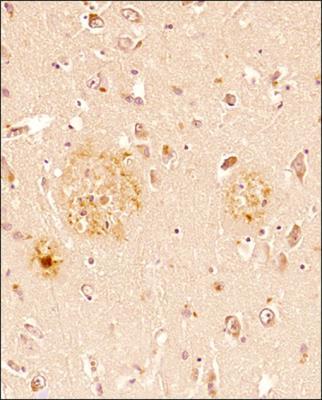
- Immunohistochemistry-Paraffin: beta Amyloid Antibody (MOAB-2) [NBP2-13075] - IHC analysis of a formalin fixed paraffin embedded tissue section of human brain (Alzheimers disease, hippocampus) using 1:200 dilution of anti-beta Amyloid antibody (clone MOAB-2). The staining was developed with HRP labeled anti-mouse secondary antibody and DAB reagent, and nuclei of cells were counter-stained with hematoxylin. This beta Amyloid antibody specifically stained the cells with Abeta 42/ Abeta aggregates while the normal cells were negative for abeta peptide.
- Submitted by
- Novus Biologicals (provider)
- Main image

- Experimental details
- Immunohistochemistry-Frozen: beta Amyloid Antibody (MOAB-2) [NBP2-13075] - Mouse brain (cerebral cortex). Red: MOAB-2 antibody staining, Blue: DAPI. Zeiss LSM800, 40x. Image from verified customer review.