Antibody data
- Antibody Data
- Antigen structure
- References [0]
- Comments [0]
- Validations
- Immunohistochemistry [2]
- Other assay [1]
Submit
Validation data
Reference
Comment
Report error
- Product number
- 7535-MSM8-P1 - Provider product page

- Provider
- Invitrogen Antibodies
- Product name
- ZAP70 (Chronic Lymphocytic Leukemia Marker) Monoclonal Antibody (rZAP70/2046)
- Antibody type
- Monoclonal
- Antigen
- Recombinant protein fragment
- Reactivity
- Human
- Host
- Mouse
- Isotype
- IgG
- Antibody clone number
- rZAP70/2046
- Vial size
- 100 µg
- Concentration
- 200 µg/mL
- Storage
- 4° C, do not freeze
No comments: Submit comment
Supportive validation
- Submitted by
- Invitrogen Antibodies (provider)
- Main image

- Experimental details
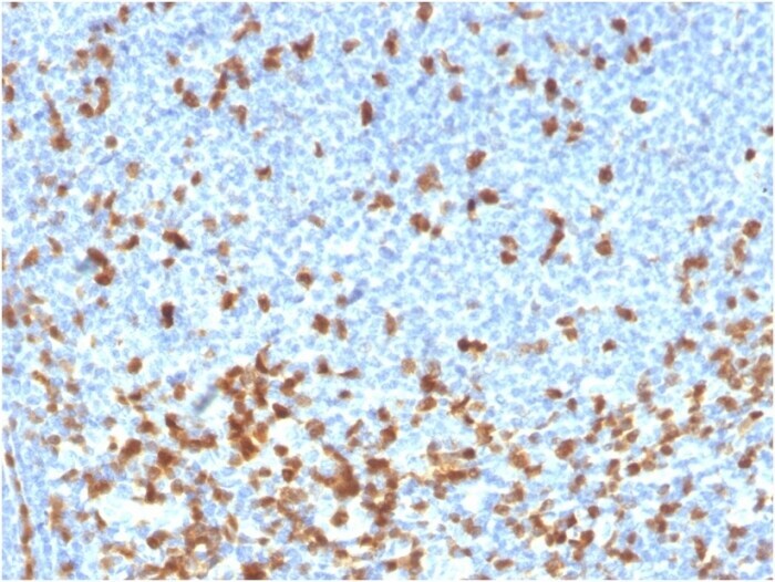
- Formalin-fixed, paraffin-embedded human tonsil stained with ZAP70 Recombinant Mouse Monoclonal Antibody (rZAP70/2046).
- Submitted by
- Invitrogen Antibodies (provider)
- Main image

- Experimental details
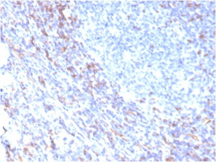
- Formalin-fixed, paraffin-embedded human lymphoma stained with ZAP70 Recombinant Mouse Monoclonal Antibody (rZAP70/2046).
Supportive validation
- Submitted by
- Invitrogen Antibodies (provider)
- Main image

- Experimental details
- SDS-PAGE analysis Purified ZAP70 Recombinant Mouse Monoclonal Antibody (rZAP70/2046). Confirmation of Integrity and Purity of Antibody.