MA5-15071
antibody from Invitrogen Antibodies
Targeting: STAT1
ISGF-3, STAT91
Antibody data
- Antibody Data
- Antigen structure
- References [4]
- Comments [0]
- Validations
- Immunocytochemistry [6]
- Immunohistochemistry [1]
- Flow cytometry [2]
- Other assay [2]
Submit
Validation data
Reference
Comment
Report error
- Product number
- MA5-15071 - Provider product page

- Provider
- Invitrogen Antibodies
- Product name
- Phospho-STAT1 (Tyr701) Monoclonal Antibody (S.213.5)
- Antibody type
- Monoclonal
- Antigen
- Synthetic peptide
- Description
- It is not recommended to aliquot this antibody. This antibody is not cross-reactive with the corresponding phospho-tyrosines of other Stat proteins.
- Reactivity
- Human, Mouse
- Host
- Rabbit
- Isotype
- IgG
- Antibody clone number
- S.213.5
- Vial size
- 100 μL
- Concentration
- 59 μg/mL
- Storage
- -20°C
Submitted references An organoid-derived bronchioalveolar model for SARS-CoV-2 infection of human alveolar type II-like cells.
Sustained Inflammatory Signalling through Stat1/Stat2/IRF9 Is Associated with Amoeboid Phenotype of Melanoma Cells.
MicroRNA-144 Regulates Cardiomyocyte Proliferation and Apoptosis by Targeting TBX1 through the JAK2/STAT1 Pathway.
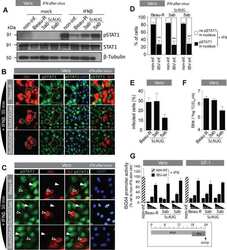
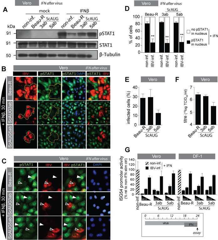
Infectious Bronchitis Coronavirus Inhibits STAT1 Signaling and Requires Accessory Proteins for Resistance to Type I Interferon Activity.
Lamers MM, van der Vaart J, Knoops K, Riesebosch S, Breugem TI, Mykytyn AZ, Beumer J, Schipper D, Bezstarosti K, Koopman CD, Groen N, Ravelli RBG, Duimel HQ, Demmers JAA, Verjans GMGM, Koopmans MPG, Muraro MJ, Peters PJ, Clevers H, Haagmans BL
The EMBO journal 2021 Mar 1;40(5):e105912
The EMBO journal 2021 Mar 1;40(5):e105912
Sustained Inflammatory Signalling through Stat1/Stat2/IRF9 Is Associated with Amoeboid Phenotype of Melanoma Cells.
Gandalovičová A, Šůchová AM, Čermák V, Merta L, Rösel D, Brábek J
Cancers 2020 Aug 28;12(9)
Cancers 2020 Aug 28;12(9)
MicroRNA-144 Regulates Cardiomyocyte Proliferation and Apoptosis by Targeting TBX1 through the JAK2/STAT1 Pathway.
Cao ML, Zhu BL, Sun YY, Qiu GR, Fu WN, Jiang HK
Cytogenetic and genome research 2019;159(4):190-200
Cytogenetic and genome research 2019;159(4):190-200
Infectious Bronchitis Coronavirus Inhibits STAT1 Signaling and Requires Accessory Proteins for Resistance to Type I Interferon Activity.
Kint J, Dickhout A, Kutter J, Maier HJ, Britton P, Koumans J, Pijlman GP, Fros JJ, Wiegertjes GF, Forlenza M
Journal of virology 2015 Dec;89(23):12047-57
Journal of virology 2015 Dec;89(23):12047-57
No comments: Submit comment
Supportive validation
- Submitted by
- Invitrogen Antibodies (provider)
- Main image

- Experimental details
- Immunofluorescent analysis of Phospho-STAT1 (Tyr701) using a monoclonal antibody (Product # MA5-15071).
- Submitted by
- Invitrogen Antibodies (provider)
- Main image

- Experimental details
- Immunofluorescent analysis of Phospho-STAT1 (Tyr701) using a monoclonal antibody (Product # MA5-15071).
- Submitted by
- Invitrogen Antibodies (provider)
- Main image

- Experimental details
- Immunofluorescent analysis of Phospho-STAT1 (Tyr701) using a monoclonal antibody (Product # MA5-15071).
- Submitted by
- Invitrogen Antibodies (provider)
- Main image

- Experimental details
- Immunofluorescent analysis of Phospho-STAT1 (Tyr701) using a monoclonal antibody (Product # MA5-15071).
- Submitted by
- Invitrogen Antibodies (provider)
- Main image

- Experimental details
- Immunofluorescent analysis of Phospho-STAT1 (Tyr701) using a monoclonal antibody (Product # MA5-15071).
- Submitted by
- Invitrogen Antibodies (provider)
- Main image

- Experimental details
- Immunofluorescent analysis of Phospho-STAT1 (Tyr701) using a monoclonal antibody (Product # MA5-15071).
Supportive validation
- Submitted by
- Invitrogen Antibodies (provider)
- Main image

- Experimental details
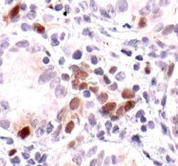
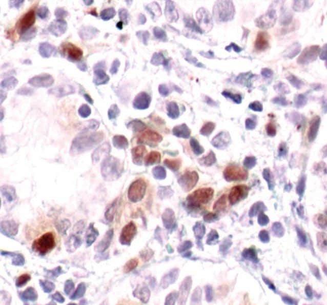
- Immunohistochemical analysis of Phospho-STAT1 (Tyr701) in paraffin-embedded stomach using Phospho-STAT1 (Tyr701) monoclonal antibody (Product # MA5-15071).
Supportive validation
- Submitted by
- Invitrogen Antibodies (provider)
- Main image

- Experimental details
- Flow cytometry analysis of Phospho-STAT1 (Tyr701) using a monoclonal antibody (Product # MA5-15071).
- Submitted by
- Invitrogen Antibodies (provider)
- Main image

- Experimental details
- Flow cytometry analysis of Phospho-STAT1 (Tyr701) using a monoclonal antibody (Product # MA5-15071).
Supportive validation
- Submitted by
- Invitrogen Antibodies (provider)
- Main image

- Experimental details
- NULL
- Submitted by
- Invitrogen Antibodies (provider)
- Main image

- Experimental details
- 6 Figure Host response analysis of SARS-CoV-2 infection in organoid-derived bronchioalveolar-like and small airway cells pSTAT1 translocation in mock and SARS-CoV-2-infected bronchioalveolar-like cells visualized in green. Scale bars indicate 50 mum. Nucleoprotein (NP) stains viral capsid (red). Nuclei are stained with Hoechst (white). Scale bar indicates 50 um. Heatmaps depicting top 20 enriched genes based on adjusted P -value in bronchioalveolar-like cells after SARS-CoV-2 infection. Colored bars represent Z -scores of log 2 -transformed values. pSTAT1 translocation in mock and SARS-CoV-2-infected small airway cells visualized in green. Nucleoprotein (NP) stains viral capsid (red). Nuclei are stained with Hoechst (white). Scale bar indicates 50 mum. Heatmaps depicting top 25 enriched genes based on adjusted p -value and log2 fold changes in small airway cells after SARS-CoV-2 infection. Colored bars represent Z -scores of log 2 -transformed values. GO term enrichment analysis for biological processes of the 20 most significantly up-regulated genes upon SARS-CoV-2 infected in bronchioalveolar-like cells. P -values were determined using PANTHER Overrepresentation Test. GO term enrichment analysis for biological processes of the 25 most significantly up-regulated genes upon SARS-CoV-2 infected in small airway cells. P -values were determined using PANTHER Overrepresentation Test.