Antibody data
- Antibody Data
- Antigen structure
- References [8]
- Comments [0]
- Validations
- Western blot [6]
- Immunocytochemistry [1]
- Immunohistochemistry [2]
Submit
Validation data
Reference
Comment
Report error
- Product number
- GTX110723 - Provider product page

- Provider
- GeneTex
- Proper citation
- GeneTex Cat#GTX110723, RRID:AB_2036448
- Product name
- Caspase 8 antibody
- Antibody type
- Polyclonal
- Reactivity
- Human, Mouse, Rat
- Host
- Rabbit
Submitted references Opposite Regulation of CHOP and GRP78 and Synergistic Apoptosis Induction by Selenium Yeast and Fish Oil via AMPK Activation in Lung Adenocarcinoma Cells.
Loss of the clock gene PER2 is associated with cancer development and altered expression of important tumor-related genes in oral cancer.
Simultaneous induction of apoptosis and necroptosis by Tanshinone IIA in human hepatocellular carcinoma HepG2 cells.
The miR-204-3p-targeted IGFBP2 pathway is involved in xanthohumol-induced glioma cell apoptotic death.
Suberoylanilide hydroxamic acid represses glioma stem-like cells.
Dietary resistant maltodextrin ameliorates testicular function and spermatogenesis in streptozotocin-nicotinamide-induced diabetic rats.
MicroRNA-302b-inhibited E2F3 transcription factor is related to all trans retinoic acid-induced glioma cell apoptosis.
Killing of chronic lymphocytic leukemia by the combination of fludarabine and oxaliplatin is dependent on the activity of XPF endonuclease.
Kao RH, Lai GM, Chow JM, Liao CH, Zheng YM, Tsai WL, Hsia S, Lai IC, Lee HL, Chuang SE, Whang-Peng J, Yao CJ
Nutrients 2018 Oct 8;10(10)
Nutrients 2018 Oct 8;10(10)
Loss of the clock gene PER2 is associated with cancer development and altered expression of important tumor-related genes in oral cancer.
Xiong H, Yang Y, Yang K, Zhao D, Tang H, Ran X
International journal of oncology 2018 Jan;52(1):279-287
International journal of oncology 2018 Jan;52(1):279-287
Simultaneous induction of apoptosis and necroptosis by Tanshinone IIA in human hepatocellular carcinoma HepG2 cells.
Lin CY, Chang TW, Hsieh WH, Hung MC, Lin IH, Lai SC, Tzeng YJ
Cell death discovery 2016;2:16065
Cell death discovery 2016;2:16065
The miR-204-3p-targeted IGFBP2 pathway is involved in xanthohumol-induced glioma cell apoptotic death.
Chen PH, Chang CK, Shih CM, Cheng CH, Lin CW, Lee CC, Liu AJ, Ho KH, Chen KC
Neuropharmacology 2016 Nov;110(Pt A):362-375
Neuropharmacology 2016 Nov;110(Pt A):362-375
Suberoylanilide hydroxamic acid represses glioma stem-like cells.
Hsu CC, Chang WC, Hsu TI, Liu JJ, Yeh SH, Wang JY, Liou JP, Ko CY, Chang KY, Chuang JY
Journal of biomedical science 2016 Nov 18;23(1):81
Journal of biomedical science 2016 Nov 18;23(1):81
Dietary resistant maltodextrin ameliorates testicular function and spermatogenesis in streptozotocin-nicotinamide-induced diabetic rats.
Liu CY, Hsu YJ, Chien YW, Cha TL, Tsao CW
Andrologia 2016 May;48(4):363-73
Andrologia 2016 May;48(4):363-73
MicroRNA-302b-inhibited E2F3 transcription factor is related to all trans retinoic acid-induced glioma cell apoptosis.
Chen PH, Shih CM, Chang WC, Cheng CH, Lin CW, Ho KH, Su PC, Chen KC
Journal of neurochemistry 2014 Dec;131(6):731-42
Journal of neurochemistry 2014 Dec;131(6):731-42
Killing of chronic lymphocytic leukemia by the combination of fludarabine and oxaliplatin is dependent on the activity of XPF endonuclease.
Zecevic A, Sampath D, Ewald B, Chen R, Wierda W, Plunkett W
Clinical cancer research : an official journal of the American Association for Cancer Research 2011 Jul 15;17(14):4731-41
Clinical cancer research : an official journal of the American Association for Cancer Research 2011 Jul 15;17(14):4731-41
No comments: Submit comment
Supportive validation
- Submitted by
- GeneTex (provider)
- Main image

- Experimental details
- Sample (30 ug of whole cell lysate) A: Jurkat 10% SDS PAGE GTX110723 diluted at 1:5000
- Validation comment
- WB
- Submitted by
- GeneTex (provider)
- Main image

- Experimental details
- Various whole cell extracts (30 ?g) were separated by 10% SDS-PAGE, and the membrane was blotted with Caspase 8 antibody (GTX110723) diluted at 1:1000. The HRP-conjugated anti-rabbit IgG antibody (GTX213110-01) was used to detect the primary antibody.
- Submitted by
- GeneTex (provider)
- Main image

- Experimental details
- Various whole cell extracts (30 ?g) were separated by 10% SDS-PAGE, and the membrane was blotted with Caspase 8 antibody (GTX110723) diluted at 1:1000. The HRP-conjugated anti-rabbit IgG antibody (GTX213110-01) was used to detect the primary antibody.
- Submitted by
- GeneTex (provider)
- Main image

- Experimental details
- Various whole cell extracts (30 ?g) were separated by 10% SDS-PAGE, and the membrane was blotted with Caspase 8 antibody (GTX110723) diluted at 1:1000. The HRP-conjugated anti-rabbit IgG antibody (GTX213110-01) was used to detect the primary antibody.
- Submitted by
- GeneTex (provider)
- Main image

- Experimental details
- Wild-type (WT) and Caspase 8 knockout (KO) HeLa cell extracts (30 ?g) were separated by 10% SDS-PAGE, and the membrane was blotted with Caspase 8 antibody (GTX110723) diluted at 1:500. The HRP-conjugated anti-rabbit IgG antibody (GTX213110-01) was used to detect the primary antibody.
- Submitted by
- GeneTex (provider)
- Main image

- Experimental details
- Wild-type (WT) and Caspase 8 knockout (KO) HeLa cell extracts (30 ?g) were separated by 10% SDS-PAGE, and the membrane was blotted with Caspase 8 antibody (GTX110723) diluted at 1:500. The HRP-conjugated anti-rabbit IgG antibody (GTX213110-01) was used to detect the primary antibody.
Supportive validation
- Submitted by
- GeneTex (provider)
- Main image

- Experimental details
- Caspase 8 antibody detects Caspase 8 protein at cytoplasm by immunofluorescent analysis.Sample: HeLa cells were fixed in 4% paraformaldehyde for 10 min.Green: Caspase 8 protein stained by Caspase 8 antibody (GTX110723) diluted at 1:100.Blue: Hoechst 33342 staining.Scale bar = 10 £gm.
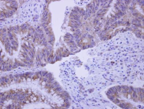
Supportive validation
- Submitted by
- GeneTex (provider)
- Main image

- Experimental details
- Immunohistochemical analysis of paraffin-embedded human colon carcinoma, using Caspase 8(GTX110723) antibody at 1:500 dilution.
- Submitted by
- GeneTex (provider)
- Main image

- Experimental details
- Caspase 8 antibody detects Caspase 8 protein at cytoplasm in human colon cancer by immunohistochemical analysis. Sample: Paraffin-embedded human colon cancer. Caspase 8 antibody (GTX110723) diluted at 1:500.