Antibody data
- Antibody Data
- Antigen structure
- References [0]
- Comments [0]
- Validations
- ELISA [3]
- Immunohistochemistry [3]
Submit
Validation data
Reference
Comment
Report error
- Product number
- LS-C133194 - Provider product page

- Provider
- LSBio
- Product name
- FGR Antibody (clone 4C12) LS-C133194
- Antibody type
- Monoclonal
- Description
- Purified from ascites by Protein A
- Reactivity
- Human
- Host
- Mouse
- Isotype
- IgG
- Antibody clone number
- 4C12
- Storage
- Store at -20°C or lower. Aliquot to avoid freeze-thaw cycles.
No comments: Submit comment
Supportive validation
- Submitted by
- LSBio (provider)
- Enhanced method
- Genetic validation
- Main image

- Experimental details
- Detection limit for recombinant GST tagged FGR is approximately 0.3 ng/ml as a capture antibody.
- Submitted by
- LSBio (provider)
- Main image

- Experimental details
- Detection limit for recombinant GST tagged FGR is approximately 0.3 ng/ml as a capture antibody.
- Submitted by
- LSBio (provider)
- Main image

- Experimental details
- Detection limit for recombinant GST tagged FGR is approximately 0.3 ng/ml as a capture antibody.
Enhanced validation
- Submitted by
- LSBio (provider)
- Enhanced method
- Genetic validation
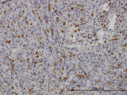
- Main image

- Experimental details
- Immunoperoxidase of monoclonal antibody to FGR on formalin-fixed paraffin-embedded human spleen. [antibody concentration 3 ug/ml]
- Submitted by
- LSBio (provider)
- Enhanced method
- Genetic validation
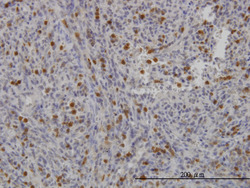
- Main image

- Experimental details
- Immunoperoxidase of monoclonal antibody to FGR on formalin-fixed paraffin-embedded human spleen. [antibody concentration 3 ug/ml]
- Submitted by
- LSBio (provider)
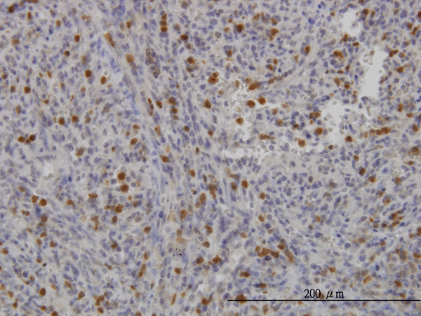
- Main image

- Experimental details
- Immunoperoxidase of monoclonal antibody to FGR on formalin-fixed paraffin-embedded human spleen. [antibody concentration 3 ug/ml]