Antibody data
- Antibody Data
- Antigen structure
- References [0]
- Comments [0]
- Validations
- Western blot [1]
- Immunohistochemistry [3]
Submit
Validation data
Reference
Comment
Report error
- Product number
- AP23613PU-N - Provider product page

- Provider
- Acris Antibodies GmbH
- Proper citation
- Acris Antibodies GmbH Cat#AP23613PU-N, RRID:AB_10842216
- Product name
- anti SNAP23
- Antibody type
- Polyclonal
- Antigen
- Recombinant human SNAP23 protein
- Reactivity
- Human
- Host
- Rabbit
- Vial size
- 50 µl
- Concentration
- 1,0 mg/ml
No comments: Submit comment
Supportive validation
- Submitted by
- Acris Antibodies GmbH (provider)
- Main image

- Experimental details
- Sample (30 ug of whole cell lysate). A: H1299. 12% SDS PAGE. SNAP23 antibody diluted at 1/1000
Supportive validation
- Submitted by
- Acris Antibodies GmbH (provider)
- Main image

- Experimental details
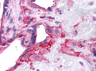
- Human Placenta: Formalin-Fixed, Paraffin-Embedded (FFPE)
- Submitted by
- Acris Antibodies GmbH (provider)
- Main image

- Experimental details
- Human Prostate: Formalin-Fixed, Paraffin-Embedded (FFPE)
- Submitted by
- Acris Antibodies GmbH (provider)
- Main image

- Experimental details
- Human Spleen: Formalin-Fixed, Paraffin-Embedded (FFPE)