Antibody data
- Antibody Data
- Antigen structure
- References [1]
- Comments [0]
- Validations
- Western blot [1]
- Immunohistochemistry [4]
- Flow cytometry [1]
Submit
Validation data
Reference
Comment
Report error
- Product number
- NBP2-67327 - Provider product page

- Provider
- Novus Biologicals
- Product name
- Rabbit Monoclonal FAK Antibody
- Antibody type
- Monoclonal
- Description
- Protein A purified.
- Reactivity
- Human, Mouse, Rat
- Host
- Rabbit
- Isotype
- IgG
- Vial size
- 100 ul
- Storage
- Store at 4C short term. Aliquot and store at -20C long term. Avoid freeze-thaw cycles.
Submitted references Phosphorylation of EphA2 receptor and vasculogenic mimicry is an indicator of poor prognosis in invasive carcinoma of the breast.
Mitra D, Bhattacharyya S, Alam N, Sen S, Mitra S, Mandal S, Vignesh S, Majumder B, Murmu N
Breast cancer research and treatment 2020 Jan;179(2):359-370
Breast cancer research and treatment 2020 Jan;179(2):359-370
No comments: Submit comment
Supportive validation
- Submitted by
- Novus Biologicals (provider)
- Main image

- Experimental details
- Western Blot: FAK Antibody (SR46-04) [NBP2-67327] - Analysis of FAK on different lysates using anti-FAK antibody at 1/1,000 dilution. Positive control: Lane 1: Hela Lane 2: Mouse spleen
Supportive validation
- Submitted by
- Novus Biologicals (provider)
- Main image

- Experimental details
- Immunohistochemistry-Paraffin: FAK Antibody (SR46-04) [NBP2-67327] - Analysis of paraffin-embedded mouse spleen tissue using anti-FAK antibody. Counter stained with hematoxylin.
- Submitted by
- Novus Biologicals (provider)
- Main image

- Experimental details
- Immunohistochemistry-Paraffin: FAK Antibody (SR46-04) [NBP2-67327] - Analysis of paraffin-embedded huamn liver cancer tissue using anti-FAK antibody. Counter stained with hematoxylin.
- Submitted by
- Novus Biologicals (provider)
- Main image

- Experimental details
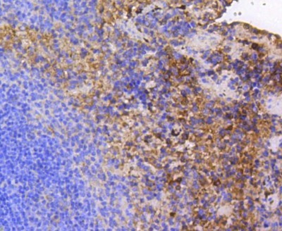
- Immunohistochemistry-Paraffin: FAK Antibody (SR46-04) [NBP2-67327] - Analysis of paraffin-embedded human spleen tissue using anti-FAK antibody. Counter stained with hematoxylin.
- Submitted by
- Novus Biologicals (provider)
- Main image

- Experimental details
- Immunohistochemistry-Paraffin: FAK Antibody (SR46-04) [NBP2-67327] - Analysis of paraffin-embedded mouse brain tissue using anti-FAK antibody. Counter stained with hematoxylin.
Supportive validation
- Submitted by
- Novus Biologicals (provider)
- Main image

- Experimental details
- Flow Cytometry: FAK Antibody (SR46-04) [NBP2-67327] - Analysis of Hela cells with FAK antibody at 1/50 dilution (blue) compared with an unlabelled control (cells without incubation with primary antibody; red). Alexa Fluor 488-conjugated goat anti rabbit IgG was used as the secondary antibody.