Antibody data
- Antibody Data
- Antigen structure
- References [0]
- Comments [0]
- Validations
- Western blot [1]
- Immunohistochemistry [1]
Submit
Validation data
Reference
Comment
Report error
- Product number
- PA5-27398 - Provider product page
- Provider
- Invitrogen Antibodies
- Product name
- Anti-Alcohol Dehydrogenase 1C Polyclonal Antibody
- Antibody type
- Polyclonal
- Antigen
- Recombinant protein fragment
- Description
- PA5-27398 targets Alcohol dehydrogenase 1C in IHC (P) and WB applications and shows reactivity with Human samples. The PA5-27398 immunogen is recombinant fragment corresponding to a region within amino acids 181 and 375 of Human Alcohol dehydrogenase 1C. Store product as a concentrated solution. Centrifuge briefly prior to opening the vial. For short-term storage (1-2 weeks), product can be stored at 4°C. For long-term storage, aliquot and store product at -20° C or below, avioiding multiple freeze-thaw cycles.
- Reactivity
- Human
- Host
- Rabbit
- Isotype
- IgG
- Vial size
- 100 µL
- Concentration
- 0.48 mg/mL
- Storage
- Store at 4°C short term. For long term storage, store at -20°C, avoiding freeze/thaw cycles.
No comments: Submit comment
Supportive validation
- Submitted by
- Invitrogen Antibodies (provider)
- Main image
- Experimental details
- Western blot analysis of Alcohol dehydrogenase 1C using 30 µg of A431 lysate. Samples were loaded onto a 10% SDS-PAGE gel and probed with an Alcohol dehydrogenase 1C polyclonal antibody (Product # PA5-27398) at a dilution of 1:1000.
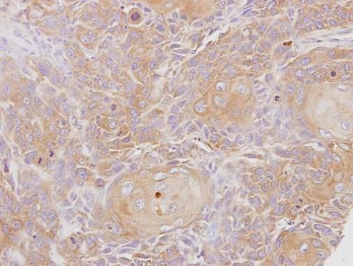
Supportive validation
- Submitted by
- Invitrogen Antibodies (provider)
- Main image
- Experimental details
- Immunohistochemical analysis of Alcohol dehydrogenase 1C in paraffin-embedded Ca922 xenograft using an Alcohol dehydrogenase 1C polyclonal antibody (Product # PA5-27398) at a dilution of 1:500.