Antibody data
- Antibody Data
- Antigen structure
- References [8]
- Comments [0]
- Validations
- Western blot [1]
- Immunohistochemistry [2]
- Other assay [1]
Submit
Validation data
Reference
Comment
Report error
- Product number
- V2242 - Provider product page

- Provider
- NSJ Bioreagents
- Product name
- CD45RB Antibody
- Antibody type
- Monoclonal
- Description
- This highly specific CD45RB antibody is suitable for use in Flow cytometry/Immunofluorescence/Western blot/Immunohistochemistry applications with human samples.
- Reactivity
- Human
- Host
- Mouse
- Conjugate
- Unconjugated
- Antibody clone number
- PD7/26
- Vial size
- 20 ug (with BSA and sodium azide), 100 ug (with BSA and sodium azide), 100 ug (without BSA or sodium azide), 7 ml IHC only format (if applicable)
- Concentration
- 0.2 mg/ml, 1 mg/ml
- Storage
- Store the CD45RB antibody at 2-8oC (with azide) or aliquot and store at -20oC or colder (without azide).
Submitted references A Rare Case of Peripheral Primitive Neuroectodermal Tumor Arising from the Minor Salivary Gland in a Young Woman
Spontaneous complete regression of gastric large-cell neuroendocrine carcinoma: mediated by cytomegalovirus-induced cross-autoimmunity?
Enhanced expression of vascular endothelial growth factor in metastatic melanoma.
Human thymic epithelial cells express an endogenous lectin, galectin-1, which binds to core 2 O-glycans on thymocytes and T lymphoblastoid cells.
The progressive differentiation of primed T cells is associated with an increasing susceptibility to apoptosis.
Subpopulations of primed T helper cells in rheumatoid arthritis.
CD45 epitope mapping of human CD1a+ dendritic cells and peripheral blood dendritic cells.
Primary large-cell lymphoma of the thymus: a diffuse B-cell neoplasm presenting as primary mediastinal lymphoma.
OMATSU M, KUNIMURA T, MIKOGAMI T, HAMATANI S, SHIOKAWA A, WATANABE H, KOHNO Y, ISOZAKI M, TATENO H, MIYAKE S, KITAYAMA T, MOROHOSHI T
The Showa University Journal of Medical Sciences 2012 ;24(4):319-325
The Showa University Journal of Medical Sciences 2012 ;24(4):319-325
Spontaneous complete regression of gastric large-cell neuroendocrine carcinoma: mediated by cytomegalovirus-induced cross-autoimmunity?
Ip YT, Pong WM, Kao SS, Chan JK
International journal of surgical pathology 2011 Jun;19(3):355-8
International journal of surgical pathology 2011 Jun;19(3):355-8
Enhanced expression of vascular endothelial growth factor in metastatic melanoma.
Salven P, Heikkilä P, Joensuu H
British journal of cancer 1997;76(7):930-4
British journal of cancer 1997;76(7):930-4
Human thymic epithelial cells express an endogenous lectin, galectin-1, which binds to core 2 O-glycans on thymocytes and T lymphoblastoid cells.
Baum LG, Pang M, Perillo NL, Wu T, Delegeane A, Uittenbogaart CH, Fukuda M, Seilhamer JJ
The Journal of experimental medicine 1995 Mar 1;181(3):877-87
The Journal of experimental medicine 1995 Mar 1;181(3):877-87
The progressive differentiation of primed T cells is associated with an increasing susceptibility to apoptosis.
Salmon M, Pilling D, Borthwick NJ, Viner N, Janossy G, Bacon PA, Akbar AN
European journal of immunology 1994 Apr;24(4):892-9
European journal of immunology 1994 Apr;24(4):892-9
Subpopulations of primed T helper cells in rheumatoid arthritis.
Matthews N, Emery P, Pilling D, Akbar A, Salmon M
Arthritis and rheumatism 1993 May;36(5):603-7
Arthritis and rheumatism 1993 May;36(5):603-7
CD45 epitope mapping of human CD1a+ dendritic cells and peripheral blood dendritic cells.
Wood GS, Freudenthal PS, Edinger A, Steinman RM, Warnke RA
The American journal of pathology 1991 Jun;138(6):1451-9
The American journal of pathology 1991 Jun;138(6):1451-9
Primary large-cell lymphoma of the thymus: a diffuse B-cell neoplasm presenting as primary mediastinal lymphoma.
Davis RE, Dorfman RF, Warnke RA
Human pathology 1990 Dec;21(12):1262-8
Human pathology 1990 Dec;21(12):1262-8
No comments: Submit comment
Supportive validation
- Submitted by
- NSJ Bioreagents (provider)
- Main image

- Experimental details
- Western blot testing of Daudi cell lysate with CD45RB antibody (clone PD7/26). Predicted molecular weight: ~147/180~220kDa (unmodified/glycosylated).
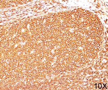
Supportive validation
- Submitted by
- NSJ Bioreagents (provider)
- Main image

- Experimental details
- IHC testing of human tonsil (10X) stained with CD45RB antibody (PD7/26).
- Submitted by
- NSJ Bioreagents (provider)
- Main image

- Experimental details
- IHC testing of human tonsil (20X) stained with PD7/26 mAb.
Supportive validation
- Submitted by
- NSJ Bioreagents (provider)
- Main image

- Experimental details
- SDS-PAGE Analysis of Purified, BSA-Free CD45RB Antibody (clone PD7/26). Confirmation of Integrity and Purity of the Antibody.