Antibody data
- Antibody Data
- Antigen structure
- References [0]
- Comments [0]
- Validations
- Western blot [1]
- Immunohistochemistry [2]
Submit
Validation data
Reference
Comment
Report error
- Product number
- AM09001PU-N - Provider product page

- Provider
- OriGene
- Product name
- CD45 (PTPRC) mouse monoclonal antibody, clone 3G4, Purified
- Antibody type
- Monoclonal
- Description
- CD45 (PTPRC) mouse monoclonal antibody, clone 3G4, Purified
- Host
- Mouse
- Conjugate
- Unconjugated
- Epitope
- PTPRC
- Isotype
- IgG
- Antibody clone number
- 3G4
- Vial size
- 100 µl
- Concentration
- 1.0 mg/ml
No comments: Submit comment
Supportive validation
- Submitted by
- OriGene (provider)
- Main image

- Experimental details
- Western blot analysis on Jurkat cells: Cell lysates of Jurkat (20 ug) were resolved by SDS-PAGE, transferred to NC membrane and probed with anti-human CD45 (1:2000). Proteins were visualized using a goat anti-mouse secondary antibody conjugated to HRP and an ECL detection system.
- Validation comment
- WB
Supportive validation
- Submitted by
- OriGene (provider)
- Main image

- Experimental details
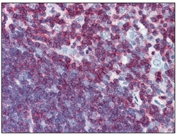
- Immunohistochemistry: CD45 antibody staining of Formalin-Fixed, Paraffin-Embedded Human Tonsil at 10 ug/ml followed by biotinylated anti-mouse IgG secondary antibody, alkaline phosphatase-streptavidin and chromogen.
- Validation comment
- IHC
- Submitted by
- OriGene (provider)
- Main image

- Experimental details
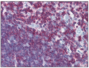
- Immunohistochemistry: CD45 antibody staining of Formalin-Fixed, Paraffin-Embedded Human Thymus at 10 ug/ml followed by biotinylated anti-mouse IgG secondary antibody, alkaline phosphatase-streptavidin and chromogen.
- Validation comment
- IHC